烤瓷牙的寿命有多久?烤瓷牙是修复牙齿问题更好的方法,但是做过烤瓷牙之后若是没有做好护理,就会严重影响烤瓷牙的使用寿命。那么烤瓷牙的寿命有多久呢?下面请郑州知名口腔科专家来介绍一下。
烤瓷牙的寿命有多久
中韩·唯美口腔专家介绍,烤瓷牙的寿命不是固定的,烤瓷牙寿命受到诸多因素的影响,以下的几个方面都影响烤瓷牙的寿命:
1.患者牙齿的情况影响烤瓷牙的寿命
一般来说,如果您本身的牙齿是那种又粗又长的,做了烤瓷以后使用的时间就长。如果您是做牙齿美容的,那么原来是氟斑牙的大于四环素牙的,大于原来是那种广泛龋坏的。如果您是镶牙的,那么缺牙越多的使用时间越短。带的好牙越多的使用时间越长(那也不能因此而多带啊!)如果您是包冠保护死髓牙的。那么剩下的牙体组织越多,使用寿命越长。
2.烤瓷牙的材料影响烤瓷牙的寿命
选择好的材料可以使用的更久一些。一般来说,贵的材料更好,一分钱一分货。不过也不完全,适合您的材料是更好的。
3.医生的技术影响烤瓷牙的寿命
医生的技术越高经验越丰富做出的烤瓷牙效果越好,寿命越长。
4.患者使用烤瓷牙的情况影响烤瓷牙的寿命
做完烤瓷牙一定要对烤瓷牙进行护理,避免吃坚硬的食物,这样烤瓷牙才能更好为我们服务。推荐阅读:3D全瓷牙
中韩·唯美口腔牙齿美容技术推荐
中韩·唯美口腔拥有的3D全瓷牙采用更高端的氧化锆材料,运用先进的CT三维数字扫描技术、电脑智能CAD/CAM系统设计,在短时间内根据患者的口腔条件、脸型、肤色,量身定做个性化全瓷牙修复美容方案。3D全瓷牙拥有完美的精密度;具有真牙相匹配的透光性,色泽逼真,可媲美自然牙;良好的生物相容性,对牙龈无刺激;强度绝佳,强度超出真牙,拥有卓越的咬合力量,无不良金属离子渗出,磨牙较少,更大程度地保留原有的牙齿组织,所以能达到更佳的美齿效果及与软组织的更舒适接触。点击在线咨询,了解牙齿美容的优惠信息!在线预约可享更多优惠!
中韩·唯美口腔牙齿美容专家推荐

莫三心教授,主任医师,硕士研究生导师。唯美口腔特邀专家,河南省口腔医学领域知名专家、郑州大学知名教授。精湛技术:牙齿种植、口腔修复、牙齿美容修复曾多次获得卫生部及省市各级表彰。主编多部并且参与编写多部国家医学教材,发表学术论文20余篇。擅于口腔修复,并涵盖口腔专业各个领域,可谓是大师级的口腔专家,在国内口腔界享有很高的声望。
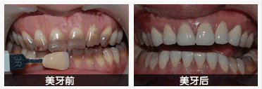
中韩·唯美口腔牙齿美容前后对比图

如果您还有想要了解的情况,可以点击我们的在线咨询,中韩·唯美口腔的在线专家会给您更专业,更详细的解答,或是拨打我们的24小时康复热线,与专家一对一详解。
唯美口腔连锁·汇聚实力专家
唯美口腔连锁·品牌资讯