烤瓷牙一颗需要多少钱?观念的变化,促使着更多了朋友选择烤瓷牙来修复自己所遭遇的牙齿问题,靓丽的牙齿可以让我们更好的展示自己。那么烤瓷牙一颗需要多少钱呢?下面跟随郑州知名口腔科专家来了解一下烤瓷牙的价格影响因素。
烤瓷牙一颗需要多少钱?对于这个问题中韩·唯美口腔专家给我们做了以下的介绍:
首先,需要注意的是烤瓷牙修复的医院,不一样的医院有着不一样的烤瓷牙修复的技术和设备,所以在烤瓷的牙齿一颗需要多少钱上也就不一样。当然,烤瓷牙修复的价格还和牙齿修复的个数有关。有的求美者牙齿损伤的比较严重一些,自然修复的个数也就多了,那么收取烤瓷的牙齿一颗需要多少钱肯定会要贵一点。
其次,烤瓷牙修复的材料决定了烤瓷牙修复种类的多种多样。烤瓷牙一般分为金属烤瓷牙和全瓷牙两大类。金属烤瓷牙分为非贵金属和贵金属,全瓷牙分为铸瓷牙和电脑全瓷牙,它们所用的材料不同,加工工艺也有区别,所达到的效果也会不一样,因而不同的材料制作出来的烤瓷的牙齿一颗需要多少钱是不一样的。推荐阅读:3D全瓷牙
中韩·唯美口腔拥有的3D全瓷牙采用更高端的氧化锆材料,运用先进的CT三维数字扫描技术、电脑智能CAD/CAM系统设计,在短时间内根据患者的口腔条件、脸型、肤色,量身定做个性化全瓷牙修复美容方案。3D全瓷牙拥有完美的精密度;具有真牙相匹配的透光性,色泽逼真,可媲美自然牙;良好的生物相容性,对牙龈无刺激;强度绝佳,强度超出真牙,拥有卓越的咬合力量,无不良金属离子渗出,磨牙较少,更大程度地保留原有的牙齿组织,所以能达到更佳的美齿效果及与软组织的更舒适接触。点击在线咨询,了解全瓷牙的优惠信息!在线预约可享更多优惠!
中韩·唯美口腔牙齿美容专家推荐

莫三心教授,主任医师,硕士研究生导师。唯美口腔特邀专家,河南省口腔医学领域知名专家、郑州大学知名教授。精湛技术:牙齿种植、口腔修复、牙齿美容修复曾多次获得卫生部及省市各级表彰。主编多部并且参与编写多部国家医学教材,发表学术论文20余篇。擅于口腔修复,并涵盖口腔专业各个领域,可谓是大师级的口腔专家,在国内口腔界享有很高的声望。
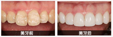
中韩·唯美口腔牙齿美容前后对比图

如果您觉得我们的文章没有解释的很清楚,或者还有其他疑问,您可以直接点击我们的在线咨询医生,中韩·唯美口腔专业咨询医生会给您耐心的,详细的解答,并给您一个满意的答复!
上一篇:烤瓷牙适应症有哪些
下一篇:烤瓷牙手术有哪些危害
唯美口腔连锁·汇聚实力专家
唯美口腔连锁·品牌资讯