烤瓷牙适应症有哪些?牙齿关乎着我们的一日三餐,也关于着我们的口腔健康,以及外在形象。当牙齿出现问题了,很多朋友都会选择烤瓷牙来修复。那么烤瓷牙修复的适应症有哪些呢?下面跟随郑州知名口腔科专家来了解一下烤瓷牙的适应症。
烤瓷牙适应症有哪些
1、牙齿缺失,一般要求缺失数目较少,并且邻牙健康,没有炎症或虽有炎症,但经过治疗得到控制,经医生检查可考虑做烤瓷牙修复;
2、牙齿颜色或形态不佳,如四环素牙、锥形小牙等;
3、是牙列形态异常又不宜做正畸治疗的患者,可考虑做烤瓷牙修复;
4、是因外伤而折断的牙齿或残留的牙根,如牙根有足够的长度,牙周情况又较好时,经过完善的根管治疗,可进行烤瓷牙修复;
5、是龋齿或牙齿缺损较大,牙齿变色呈灰色或黄褐色,可通过烤瓷牙恢复美观及增加强度。推荐阅读:3D全瓷牙
中韩·唯美口腔拥有的3D全瓷牙采用更高端的氧化锆材料,运用先进的CT三维数字扫描技术、电脑智能CAD/CAM系统设计,在短时间内根据患者的口腔条件、脸型、肤色,量身定做个性化全瓷牙修复美容方案。3D全瓷牙拥有完美的精密度;具有真牙相匹配的透光性,色泽逼真,可媲美自然牙;良好的生物相容性,对牙龈无刺激;强度绝佳,强度超出真牙,拥有卓越的咬合力量,无不良金属离子渗出,磨牙较少,更大程度地保留原有的牙齿组织,所以能达到更佳的美齿效果及与软组织的更舒适接触。点击在线咨询,了解全瓷牙的优惠信息!在线预约可享更多优惠!
中韩·唯美口腔牙齿美容专家推荐

艾西川,副主任医师,精湛技术:颌面外科、牙齿美容、1小时德国西诺德CAD/CAM3D齿雕全瓷修复。毕业于中国口腔著名学府——西安第四军医大学,原南京军区口外知名专家,郑州市口腔医院院长。从事口腔全科临床工作三十余年,对口腔内外科有丰富的临床经验,拥有万例成功案例。曾获市级科研成果奖两项,省级三项,多部专著被列为医大教材,在国内外知名刊物上发表专业论文20余篇,多次应邀参加国内外口腔大型研讨会,于口腔治疗方面有独到的治疗方法,深受客人好评。
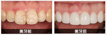
中韩·唯美口腔牙齿美容前后对比图

如果您觉得我们的文章没有解释的很清楚,或者还有其他疑问,您可以直接点击我们的在线咨询医生,中韩·唯美口腔专业咨询医生会给您耐心的,详细的解答,并给您一个满意的答复!
上一篇:门牙缺失做什么样的烤瓷牙好
下一篇:烤瓷牙一颗需要多少钱
唯美口腔连锁·汇聚实力专家
唯美口腔连锁·品牌资讯