烤瓷牙修复牙齿哪种好?选择是一件十分让人纠结的事情,比如说选择一顿食物,一件衣服的时候,但是比这些更纠结的就是在我们选择烤瓷牙来修复牙齿的时候,面对众多的烤瓷牙方法,不知道怎么选择好,那么烤瓷牙修复牙齿哪种好呢?
烤瓷牙修复牙齿哪种好?烤瓷牙的种类
1、半贵金属烤瓷牙:代表是钴铬合金烤瓷牙,其生物相容性优于非贵金属,也比较耐久,可以避免牙龈出血及黑色牙龈的现象出现。钴铬合金烤瓷牙的价格介于非贵金属烤瓷牙和贵金属烤瓷牙之间,价格比较适中,是一款适合大众的经济型烤瓷牙。
2、贵金属烤瓷牙:主要成分是黄金和白金,比同类产品具有更丰富完善的颜色体系,与天然牙颜色接近,更具理想的生物相容性,使用安全,对人体无害,使用年限更长久,形态逼真,更接近自然牙的强度和形态,堪称“牙齿装潢”的理想材料;
3、非贵金属烤瓷牙:主要是在镍铬合金制成的金属内冠外高温烤瓷而成,其价格相对较低,但是这种烤瓷牙存在一些缺点,目前已不建议使用;
4、全瓷牙:全瓷牙与其它烤瓷牙更大的区别在于内冠,全瓷的内冠是一种透明的骨架,由于无金属基底结构,不透金属色,所以色泽自然,层次感强,透明效果理想,它的层次、色泽更接近真牙;哪种方法适合你呢?点击在线咨询,直接与专家对话了解详情!推荐阅读:3D全瓷牙
烤瓷牙修复牙齿更好的方法——3D全瓷牙
中韩·唯美口腔拥有的3D全瓷牙采用更高端的氧化锆材料,运用先进的CT三维数字扫描技术、电脑智能CAD/CAM系统设计,在短时间内根据患者的口腔条件、脸型、肤色,量身定做个性化全瓷牙修复美容方案。3D全瓷牙拥有完美的精密度;具有真牙相匹配的透光性,色泽逼真,可媲美自然牙;良好的生物相容性,对牙龈无刺激;强度绝佳,强度超出真牙,拥有卓越的咬合力量,无不良金属离子渗出,磨牙较少,更大程度地保留原有的牙齿组织,所以能达到更佳的美齿效果及与软组织的更舒适接触。点击在线咨询了解烤瓷牙的优惠活动!在线预约可享更多优惠!
中韩·唯美口腔牙齿美容专家推荐

艾西川,副主任医师,精湛技术:颌面外科、牙齿美容、1小时德国西诺德CAD/CAM3D齿雕全瓷修复。毕业于中国口腔著名学府——西安第四军医大学,原南京军区口外知名专家,郑州市口腔医院院长。从事口腔全科临床工作三十余年,对口腔内外科有丰富的临床经验,拥有万例成功案例。曾获市级科研成果奖两项,省级三项,多部专著被列为医大教材,在国内外知名刊物上发表专业论文20余篇,多次应邀参加国内外口腔大型研讨会,于口腔治疗方面有独到的治疗方法,深受客人好评。
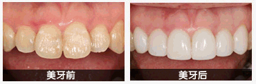
中韩·唯美口腔牙齿美容前后对比图

如果您还有想要了解的情况,可以点击我们的在线咨询,中韩·唯美口腔的在线专家会给您更专业,更详细的解答,或是拨打我们的24小时康复热线,与专家一对一详解。
上一篇:烤瓷牙贵不贵
下一篇:烤瓷牙是不是存在危害
唯美口腔连锁·汇聚实力专家
唯美口腔连锁·品牌资讯