烤瓷牙贵不贵?微笑可以打开心扉,传递温暖和力量,但是我们很多时候不愿意去微笑。归其原因还主要是因为牙齿出现的问题,诸如缺损、畸形、变色的情况所导致的,烤瓷牙是修复牙齿常用的方法,那么烤瓷牙贵不贵呢?
烤瓷牙贵不贵?烤瓷牙的价格与哪些因素有关:
1、烤瓷牙的材料
现在的美容材料越来越多,烤瓷牙也不例外。不同的材料花费不同,导致了烤瓷牙价格也会有所不同。烤瓷牙材料分很多种,常见的有镍铬合金、钛合金、贵金属、二氧化锆陶瓷等。其中由于镍铬合金更为便宜,用它们做材料的烤瓷牙价格也就相对较低,而钛合金较比镍铬合金要稍微昂贵一些。相对的,贵金属价格较高,贵金属烤瓷牙的价格也就偏高,更贵的是以二氧化锆陶瓷为材料的烤瓷牙。哪种烤瓷牙材料适合你呢?点击在线咨询,直接与专家对话选择适合自己的烤瓷牙材料!
2、医院的水平
想要拥有漂亮的牙齿,做好的牙齿美容,就要选择正规专业的口腔医院,由于正规医院无论是治疗流程还是治疗技术、卫生环境都比小诊所、小医院好很多,因此烤瓷牙价格肯定会比小医院小诊所贵一些,但是好的医院和医生可以保证我们的健康安全,而且烤瓷牙价格不是我们做牙齿美容要考虑的,更重要的是保证我们的人身安全和做烤瓷牙的显著效果。
3、医生的技能水平
烤瓷牙的价格除了由材料和医院决定,也跟对医生的技能水平有关,也取决于你口腔的条件。比如在做烤瓷牙手术之前,发现你牙床内多长一颗牙齿或者存在其他口腔问题,就会导致医生要多花费时间和技术为你安装烤瓷牙,这也是影响烤瓷牙价格的一个原因。而且如果牙医技术不过关,会导致牙和牙龈容易出现缝隙,时间长了,牙龈容易发黑,给患者带来很多麻烦。推荐阅读:3D全瓷牙
中韩·唯美口腔拥有的3D全瓷牙采用更高端的氧化锆材料,运用先进的CT三维数字扫描技术、电脑智能CAD/CAM系统设计,在短时间内根据患者的口腔条件、脸型、肤色,量身定做个性化全瓷牙修复美容方案。3D全瓷牙拥有完美的精密度;具有真牙相匹配的透光性,色泽逼真,可媲美自然牙;良好的生物相容性,对牙龈无刺激;强度绝佳,强度超出真牙,拥有卓越的咬合力量,无不良金属离子渗出,磨牙较少,更大程度地保留原有的牙齿组织,所以能达到更佳的美齿效果及与软组织的更舒适接触。点击在线咨询,了解烤瓷牙的优惠信息!在线预约可享更多优惠!
中韩·唯美口腔牙齿美容专家推荐

莫三心教授,主任医师,硕士研究生导师。唯美口腔特邀专家,河南省口腔医学领域知名专家、郑州大学知名教授。精湛技术:牙齿种植、口腔修复、牙齿美容修复曾多次获得卫生部及省市各级表彰。主编多部并且参与编写多部国家医学教材,发表学术论文20余篇。擅于口腔修复,并涵盖口腔专业各个领域,可谓是大师级的口腔专家,在国内口腔界享有很高的声望。
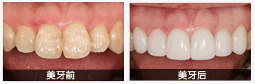
中韩·唯美口腔牙齿美容前后对比图

如果您觉得我们的文章没有解释的很清楚,或者还有其他疑问,您可以直接点击我们的在线咨询医生,中韩·唯美口腔的专业咨询医生会给您耐心的,详细的解答,并给您一个满意的答复!
上一篇:烤瓷牙的价格多少
下一篇:烤瓷牙修复牙齿哪种好
唯美口腔连锁·汇聚实力专家
唯美口腔连锁·品牌资讯