郑州后牙种植

种牙好还是镶牙好

来源:郑州唯美口腔
赞: | 好评: | 阅读:
  种牙好还是镶牙好,网友咨询:我的老父亲年纪大了,牙齿也掉了两颗,从那以后吃饭都受到影响,说话也不利落了,让我非常着急,想尽快给他镶一颗牙。在报纸上看到种植牙非常不错,但对种植牙我也不了解。为此,想咨询一下,种牙好还是镶牙好?针对这个问题,通过一下我们来进行详细的了解。
种牙好还是镶牙好
  郑州唯美口腔专家介绍,种牙好还是镶牙好我们可以从基本定义,修复方式,真人效果,价钱等方面来比较。
 
  “镶牙”在医学上称口腔修复。它包括牙体缺损及牙列缺失的修复等。近年来制作假牙的材料主要是:烤瓷、塑料、金属,由于假牙在口腔的固位方式不同,将牙齿缺失的修复分为两种: 即活动义齿与固定义齿。
 
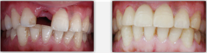
  而种植牙,是指在牙骨内打入金属牙根,等到金属牙根与进行牙齿修复的患者本身的牙槽骨进行紧密相结合后,在其牙根位置再装上假牙的一种牙齿修复方法。这种种牙效果稳固,使用期限长,受到很多牙齿修复患者的喜爱。
 
  镶牙与种植牙方式的比较
 
  一、传统镶牙需要将缺牙位置的两边牙齿磨小以作为固定牙套的支撑,牙套在口腔内人们会感觉不舒服,而种牙时则不会影响缺牙位置旁的其它牙齿,更不会有异物感、不舒服感。
 
  二、在牙齿缺失比较厉害的情况下,传统镶牙会以依靠牙床粘膜软组织为支撑,因此容易活动,如果长期使用,会造成牙槽骨将逐渐萎缩现象。而种牙相对比较适应牙齿缺失较少的情况,对于牙齿缺失较多情况,如果种牙在牙骨内打入较多的金属牙根,也容易造成牙龈的损坏。但是种牙不会出现牙齿移动现象。
 
  三、在使用传统镶牙后,人们牙齿的咀嚼能力会变差,而且损坏其它牙齿,导致整体的咀嚼能力变弱。而且镶牙之后,毕竟是异物,很容易会积淀脏物,不易清理,影响牙齿美观,而种牙的密合性非常好,不会出现传统镶牙的这些弊端。
 
  种牙与镶牙的价格比较
 
  种植牙的价格一般比镶牙的价格要贵一些,但毕竟一分钱一分货,种植牙技术要比镶牙的技术的要求高很多,况且患者一般需求国外品牌的种植体,价格也就走高了。再者,通过以上的比较可知,种植牙的优越性要比镶牙的要好。从我们接收牙齿缺失患者做种植牙治疗后反应的效果来看,患者都有表示做种植牙值得。种完牙,吃东西轻松,心情愉快舒畅,身体吸收好,健康。可见一种好的牙齿修复方式换来一副好牙,一副好牙换来一个健康愉快的身体,而这些往往不能用金钱衡量的。推荐阅读:郑州一颗种植牙大概多少钱
 
  总的来说种植牙的优点就是:不是真牙好比真牙,稳定牢固,安全无不良反应,使用寿命可达40年以上。
 
  种牙好还是镶牙好?通过以上的介绍,想必大家也有了一定的了解。郑州唯美口腔专家提醒:不管是种植牙还是镶牙,都应到正规的口腔医院,然后根据自身的牙齿情况,选择适合的修复方法,这样才能确保牙齿修复的效果。如果还有什么不明白的地方,可在线咨询我们的口腔专家。
 
温馨提示:口腔健康问题,不要查看不专业的网站,不要问不专业的医生。

上一篇:牙齿缺失时间久可以做种植牙吗

下一篇:河南做种植牙专业的是哪家医院

唯美口腔连锁·汇聚实力专家
唯美口腔连锁·品牌资讯
  • 一城七院
  • 高端设备
  • 荣誉资质
  • 机构环境