郑州后牙种植

牙齿缺失时间久可以做种植牙吗

来源:郑州唯美口腔
赞: | 好评: | 阅读:
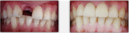
  牙齿缺失时间久可以做种植牙吗,新的一年到临,也是亲朋好友团聚的时刻,但是对于牙齿缺失的患者而言,却有一些无奈。牙齿缺失不仅影响容貌,而且饮食也会造成一定的困扰,因此,及时修复是关键。而种植牙是牙齿缺失更理想的修复方法,美观逼真,不需要磨牙,不伤邻牙。那么,牙齿缺失时间久可以种植牙吗?为此,通过一下我们来进行详细的了解。
牙齿缺失时间久可以做种植牙吗
  郑州唯美口腔专家介绍,牙齿缺失时间久情况做种植牙是更佳的治疗方法,不过为了保障种植牙成功以及使用持久,在进行种植牙的时候还是有一定的要求的,具体有以下几点:
 
  1、牙齿状况:对于种植牙的患者来说,一定要保证牙槽骨的厚度,不然是不能做种植牙的,而且种植牙的时候牙齿也要是发育完全的,总的来说做种植牙需要骨骼和发育已经定型的青年人才能做种植牙。
 
  2、牙齿缺失的状况:由于每个人牙齿缺失程度不同,但是做种植牙首先是在没有牙根的情况下,因此如果有牙根存在需要进行相应处理之后再进行修复,种植牙常用于单颗缺失、多颗缺失、甚至是全口缺失。
 
  如果您想做种植牙的话要选择一家更安全健康的治疗环境,当然在对种植牙进行修复的时候您选择的种植医院要是一家专业的技术园地,不然种植的效果是没有办法被保证的。郑州唯美口腔是专业的口腔医院,您可以放心就诊!
 
  郑州唯美口腔做种植牙安全值得信赖
 
  1、种植的安全性:郑州唯美口腔在对您进行种植的时候会让经验丰富的专家帮您进行治疗,这样就避免了对口腔的危害以及安全,保证您的口腔安全。
 
  2、无菌率环境,无感染:郑州唯美口腔拥有前沿的口腔消毒系统,完全符合卫生部对于大型口腔单位的更苛刻的院感控制要求,实现一人一包——每位患者都使用口腔器械包,严格科学的消毒体系真正实现了为患者提供安全无痛、无交叉感染的放心诊疗服务。推荐阅读:郑州一颗种植牙多少钱
 
  牙齿缺失时间久可以做种植牙吗?通过以上的介绍,想必大家对种植牙也有了一定的了解。郑州唯美口腔专家提醒:好的医院,知名医师以及优质种植材料对种植牙效果和安全都是很重要的,但是想要种植牙持久使用还需要患者对该牙进行良好维护!如果您还有疑问,您可直接点击在线咨询,我们口腔专家会耐心为您解答!
温馨提示:口腔健康问题,不要查看不专业的网站,不要问不专业的医生。

上一篇:郑州人工种植牙需多长时间

下一篇:种牙好还是镶牙好

唯美口腔连锁·汇聚实力专家
唯美口腔连锁·品牌资讯
  • 一城七院
  • 高端设备
  • 荣誉资质
  • 机构环境