郑州地包天矫正

地包天的常见类型有哪些

来源:郑州唯美口腔
赞: | 好评: | 阅读:
  地包天的常见类型有哪些,地包天不仅对外貌而且对口腔的健康都会造成一定的影响,因此,出现地包天的情况,一定要重视起来,尽快选择专业的口腔医院进行详细的检查,然后根据地包天的类型,采取相应的矫正方法。那么,地包天的常见类型有哪些?为此,通过以下我们来进行详细的了解。
 
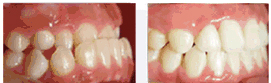
  地包天如何矫正?郑州唯美口腔专家介绍,当上下牙齿咬合时,正常情况应该是上前牙咬在下前牙的外面。反之就是地包天。医学上将之称为前牙反(牙合)。
 
地包天的常见类型有哪些
 
  1、牙源性:多由于牙齿萌出或替换过程中的局部障碍所至,常表现为单纯的前牙反合。反覆盖较小,磨牙关系为中性或接近中性关系。下颌的形态、大小基本正常,上下颌骨关系无明显异常,颌骨不前突,颜面部基本正常。下颌可自行后退至前牙对刃关系。X线头影测量骨骼无形态结构异常,矫治容易,预后良好。
 
  2、功能型:多由不良哺乳姿势等而引起的下颌功能性过度前伸和前牙反合,下颌大小和形态正常,下颌能后退至前牙切对切关系,又称假性下颌前突。
 
  3、骨源性:多由于遗传和疾病等因素所致,除了前牙反外常显示反覆盖大。磨牙为近中错,并伴有颌骨畸形。可表现为下颌角钝,下颌体长,下颌支短或上颌前部发育不足。颏部明显前突,下颌常不能自行后退。颜面多呈凹面形,有时还伴有开颌畸形。其矫治困难,单纯的正畸矫治效果不一定好,可能需要做正颌手术。
 
  地包天的矫正方法有哪些
 
  1、隐形正畸:该技术采用计算机辅助设计和加工(CAD/CAM)制作矫治器,因而矫治器更加精确、小巧、口腔异物感更小,极大地提高了患者的舒适性,并采用机械手弯制矫治弓丝,极大地提高了矫治的精确性以及矫治效果,缩短了矫治疗程。推荐阅读:郑州地包天矫正需要多少钱
 
  2、美容冠矫正:美容冠矫正就是通过做烤瓷牙的方式矫正畸形牙齿,就是把自己牙齿均匀的磨去一圈,然后再套上个烤瓷冠。前面的办法治疗时间都比较长,成人正畸一般需要一年半到两年,有的人对这么长时间有顾虑,烤瓷矫正更大的特点是时间短,一般需要就诊两次,一周时间,因此烤瓷矫正也叫作快速矫正。
 
  地包天的常见类型有哪些?通过以上的介绍,想必大家也有了一定的了解。郑州唯美口腔是专业正规的口腔医院,在进行地包天矫正前,首先会全面的检查患者的牙齿情况,然后制定相应的治疗方案。如果对地包天还有什么不明白的地方,可在线咨询我们的口腔专家,将为您提供详细的介绍。
温馨提示:口腔健康问题,不要查看不专业的网站,不要问不专业的医生。

上一篇:牙齿地包天可以矫正吗

下一篇:牙齿反合什么年龄矫正最好

唯美口腔连锁·汇聚实力专家
唯美口腔连锁·品牌资讯
  • 一城七院
  • 高端设备
  • 荣誉资质
  • 机构环境