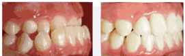
牙齿地包天可以矫正吗,若发现下牙咬在上牙的外面,这在医学上称"前牙反牙合”、“反牙合”俗称“地包天”,地包天除了影响人的容貌外观外,对咀嚼功能也会有很大的影响。那么,牙齿地包天可以矫正吗?

郑州唯美口腔医院专家介绍,地包天是可以矫正的,目前牙齿地包天矫正的方法有烤瓷牙、全瓷牙、隐形正畸、美容冠这几种。
1、烤瓷牙矫正:专家介绍,先用合金制成金属基底,再在其表面覆盖与天然牙相似的低熔瓷粉,在真空高温烤瓷炉中烧结熔附而成,因而有金属的强度和烤瓷全冠的美观。
2、全瓷牙矫正:·唯美口腔拥有的3D全瓷牙采用更高端的氧化锆材料,运用先进的CT三维数字扫描技术、电脑智能CAD/CAM系统设计,在短时间内根据患者的口腔条件、脸型、肤色,量身定做个性化全瓷牙修复美容方案。坚固美观,修复更高,一般不会出现牙龈边缘变黑、红肿、出血、萎缩等情况,并且不释放影响健康因素的金属离子,从健康的角度和美观的角度来看是更佳选择。
3、隐形正畸:传统牙颌畸形矫正器是在牙齿上粘结称为托槽的小铁片,将矫正弓丝结扎上去,使牙齿发生移动,达到矫正的目的。郑州唯美口腔专家介绍,隐适美隐形矫正技术,采用先进纳米技术精制而成,完全透明、光滑,牙症者戴用时美观、舒适,高科技可视效果预测在矫治开始前即可在计算机上模拟显示整个矫治过程中患者牙颌的变化过程,实现了矫治过程的效果预测,有利于医患交流。干净易清洁,易于摘带,更加容易清洁,给牙齿一个干净卫生的“居住环境”,杜绝了牙损伤和牙周病。
4、美容冠矫正:美容冠是矫正地包天常见的方法,唯美“美容冠”技术具有美牙不拔牙,不伤牙齿、牙龈,无不良反应,多年后牙龈不易出现黑线等优点,全程无痛,高效快捷,采用德国3D齿雕系统,美容冠从取模--设计--制作-安装 到试戴整个安装过程,一气呵成,用时只需1小时。治疗后牙色真实自然,持久不变色,坚固耐磨,如按医嘱进行保养,可相伴终生。美容冠是矫正地包天的比较好的方法。
牙齿地包天可以矫正吗,以上便是关于“牙齿地包天可以矫正吗”的相关介绍,如果还想了解更多的牙齿矫正的相关信息,可点击我们的在线专家,或拔打我们的免费热线0371-60318899
上一篇:小孩地包天需要进行矫正吗
下一篇:地包天的常见类型有哪些
唯美口腔连锁·汇聚实力专家
唯美口腔连锁·品牌资讯