郑州成人矫正

成年矫正牙齿有没有危害

来源:郑州唯美口腔
赞: | 好评: | 阅读:
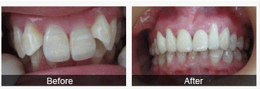
  成年矫正牙齿有没有危害,成年人面对着社会、事业、家庭的各种压力,拥有自信的笑容能使人自信倍增,面对任何压力也能从容微笑。在这种社会形势下,改变牙齿畸形,进行牙齿矫正、牙齿美容就显得尤为重要。不少牙齿畸形的朋友都普遍担心同一个问题:年龄超过了18岁,勉强进行牙齿矫正会给牙齿造成危害。成年矫正牙齿有没有危害?为此,通过以下我们来进行详细的了解。
成年矫正牙齿有没有危害
 
  郑州成人牙齿矫正郑州唯美口腔专家介绍,首先牙齿矫正是没有绝对的年龄限制的,无论是成年人还是未成年人,都可以进行牙齿矫正,这种方式是利用牙齿矫正器的牵引作用,促使牙齿产生移动,恢复到正常的位置。
 
  其次,成年人牙齿矫正其实是没有危害的,只有医师的矫正方案正确,力度适中,患者完全可以不必担心。
 
  郑州唯美口腔专家提醒:如果在不正规的医疗机构进行矫正,其方案和技术水平都不合格,其牙齿矫正的危害会影响牙根、牙槽骨、牙髓三个方面。
 
  1、不正规的成年人牙齿矫正,会造成牙根表面发生吸收、增生等情况,比如如果矫正过程中加力过多,会造成牙根吸收的危害性。若矫正期间发生轻微的牙齿松动,属于正常的反应,待矫正结束后,可自行恢复。
 
  2、在治疗初期,牙髓内产生轻度、暂时性的炎症发应,则不必担心,但如果炎症持续不退,且有加重的症状,则应及时的到医院就诊。
 
  3、成年人牙齿矫正的患者,牙槽骨的高度会有所降低,特别是矫正期间口腔卫生情况保持不太好,就会使牙槽骨发生影响。推荐阅读:成年人矫正牙的多长时间
 
  成年矫正牙齿有没有危害?通过以上的介绍,想必大家也有了一定的了解。郑州更好的口腔医院郑州唯美口腔是一家专业的牙科医院,首先医生会全面的检查患者的牙齿情况,然后根据其检查的结果,制定相应的治疗方案,从而确保牙齿矫正的效果。如果对牙齿矫正还有什么不明白的地方,可在线咨询我们的口腔专家,将为您提供详细的解答。
 
温馨提示:口腔健康问题,不要查看不专业的网站,不要问不专业的医生。

上一篇:成年人矫正牙的多长时间

下一篇:成人牙齿向外凸怎么办

唯美口腔连锁·汇聚实力专家
唯美口腔连锁·品牌资讯
  • 一城七院
  • 高端设备
  • 荣誉资质
  • 机构环境