成年人矫正牙的多长时间,如今人们的审美观是越发的强烈了,譬如牙齿不齐畸形或龅牙等一系列问题,越来越多的爱美人士都选择通过牙齿矫正来改变自身走向完美。那么矫正牙齿时间要多长时间才可以?

郑州唯美口腔医院专家表示:想要了解牙齿正畸要多久,首先需要知道的是矫正牙齿的过程。下面就为您详细的介绍一下吧。
牙齿矫正主要是通过牙套或是外科手术来使牙齿排列整齐,矫正牙齿除了能恢复牙齿的美观性,同时还能在一定程度上恢复牙齿的功能性。一般牙齿矫正需要1-2年的时间,具体的时间还受到如下因素的影响:
1、与矫正的方法有关。牙齿矫正的方法有纯韩仿生美牙冠技术、牙套,选择不同的矫正方法,矫正的时间就不一样,目前更快速的矫正方法就是纯韩仿生美牙冠技术,整个治疗过程只需要短短的1个小时。
2、与患者的牙齿程度有关。有些人牙齿不齐的程度严重,那矫正的时间就长,反之,矫正的时间就长。
3、与年龄有关。与未成年患者相比,成人牙齿矫正的时间一般会长一些,而未成年矫正时间短。
郑州唯美口腔医院推荐--3D仿生美容冠
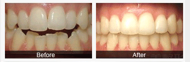
郑州唯美3d仿生美容冠,引进全新牙冠修复技术,采用上乘仿生全瓷材料,中韩专家联袂亲诊,个性化定制美牙方案,纯自然光牙色对比,为快速矫正成人畸形牙提供多种修复方案,效果美观自然,坚固耐用。
郑州唯美“美容冠”技术具有美牙不拔牙,不伤牙齿、牙龈,无不良反应,多年后牙龈不易出现黑线等优点,全程无痛,高效快捷,采用德国3D齿雕系统,美容冠从取模--设计--制作-安装到试戴整个安装过程,一气呵成,用时只需1小时。治疗后牙色真实自然,持久不变色,坚固耐磨,如按医嘱进行保养,可相伴终生。
解决各种牙齿问题,轻而易举
或许你还在为自己的牙齿而烦恼,牙齿不够白,不够整齐,不够美观。现在,你不必再烦恼了,美丽牙齿的脱变,就在唯美口腔。郑州唯美口腔设有美容冠,种植牙,牙齿矫正,牙齿美白等各种牙齿美容项目,专业的技术,一流的设备,经验丰富的医师团队,为你量身定制的牙齿美容方案,轻松美牙,完美脱变。从此,你不用再担心你的牙齿不够美丽,美丽笑容,从“齿”绽放,唯美,让你美丽从“齿”开始。
成年人矫正牙的多长时间,如果您对以上的内容,还有任何不明白的地方,欢迎点击在线咨询,与专家进行一对一交流,同时网上咨询预约,还可享免挂号费,无需排队优先就诊服务。
上一篇:成年人牙齿不齐带牙套可以吗
下一篇:成年矫正牙齿有没有危害
唯美口腔连锁·汇聚实力专家
唯美口腔连锁·品牌资讯