郑州成人矫正

成人牙齿错位怎么矫正

来源:郑州唯美口腔
赞: | 好评: | 阅读:
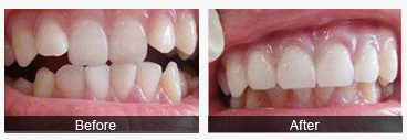
  成人牙齿错位怎么矫正,成人有牙齿错位现象,需要及时进行矫正,否则对自身的形象以及口腔的健康都会造成一定的影响。随着牙齿矫正技术的发展,牙齿矫正的方法也多种多样。那么,成人牙齿错位怎么矫正?针对这个问题,通过以下我们来进行详细的了解。
 
  郑州成人牙齿矫正郑州唯美口腔专家介绍,牙齿错位是牙齿畸形中比较常见的一种类型,只有部分或个别的牙齿不齐,但其它牙齿没有异常,所以牙齿错位现象不单单会对面部美观有影响,而且还影响牙齿清洁,从而易诱发一系列的口腔疾病。
成人牙齿错位怎么矫正
 
  然而,针对于个别牙错位一般采用隐形矫正牙齿技术,是根据牙齿的生理移动力度慢慢使牙齿归入正轨。隐形矫治技术相对于传统牙颌畸形矫正器而言,是不需要托槽和钢丝,采用的是一系列隐形矫治器,该隐形矫治器由安全的弹性透明高分子材料制成,使矫治过程悄然完成,不影响工作和生活。同时,没有以往粘结托槽、调整弓丝的繁琐,隐形正畸是当前口腔正畸学领域中的一项高新科技技术。
 
  成人牙齿错位矫正技术推荐--无托槽隐形正畸
 
  无托槽隐形正畸引进更新无钢丝、无托槽隐形矫治技术,采用计算机辅助设计,快速成形。可根据求美者的颌面形态特征,通过计算机三维模拟设计,制作出更合适的矫治器。这种矫正器是全透明的,牙齿可以在无察觉中矫正过来,不影响生活和社交。
 
  无托槽矫正器由安全的弹性高分子材料制成,完全透明,高度隐形,非常适合对美观和口腔卫生要求很高的成人患者。由于没有传统意义上的托槽、钢丝等矫正装置,所以矫正过程不会对牙周组织产生刺激。矫治器厚度不到1mm,光滑舒适,戴用时无异物感,感觉舒适。无托槽矫治器容易拆卸,患者可自行摘戴,既方便清洁口腔卫生,也无需频繁复诊,节省了时间。推荐阅读:成年牙齿整形需要多少钱
 
  成人牙齿错位怎么矫正?通过以上的介绍,想必大家也有了一定的了解。郑州唯美口腔的专家提醒:为了就诊安全和保障矫正效果,需要做牙齿矫正的朋友务必选择正规的口腔医院进行。郑州唯美口腔是值得您信赖的口腔医院。有其他的问题,欢迎您在线咨询专家。
温馨提示:口腔健康问题,不要查看不专业的网站,不要问不专业的医生。

上一篇:郑州成人整牙价格

下一篇:时代天使矫正牙齿怎么样

唯美口腔连锁·汇聚实力专家
唯美口腔连锁·品牌资讯
  • 一城七院
  • 高端设备
  • 荣誉资质
  • 机构环境