郑州成人整牙价格,郑小姐在网上咨询说,今年25岁,牙齿不齐,想到医院去整牙,但是不知道整牙的价格是多少。

郑州唯美口腔医院介绍说,现在牙齿矫正的方法有许多种,成年人可以选择隐形矫正和美牙冠矫正,但是主要还是要根据您的牙齿条件来选择适合的矫正方法,所以价格也就按照具体的矫正方法来定。
现代人们的生活水平虽然在不断提高,但是由于多方面的因素人们的健康也在大幅度下滑,牙齿畸形不齐现象不仅出现在小孩子圈里,更多的是一些成年人。许多成年人都是由于未成年时期对于牙齿的不注重而形成的牙齿畸形不齐现象,成年时受到种种不好遭遇时才有了牙齿矫正的意识,那么成年人做牙齿矫正需要多少钱呢?
成年人牙齿矫正的价格与多方面因素有关:
1、牙齿矫正价格要看矫正者的牙齿畸形程度,依照牙齿畸形程度从而选择合适的牙齿矫正方法,所以不同的矫正方法价格是不一样的。
2、医生的资质和医院的等级对牙齿矫正价格也是不一样的,矫正出来的效果也是有差别的。牙齿矫正也没什么统一价格,不同地方不同医院的价格都不同,况且还要看年龄段和牙齿的整齐度等具体情况,费用有一定差距。
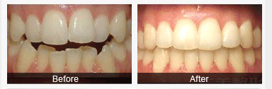
3、影响牙齿矫正价格的因素还有患者所选用的牙齿矫正的方法,不同的方法,价格是不一样的。现阶段比较贵的牙齿矫正方法是隐形无托槽牙齿矫正方法,但是这种方法的效果很好,而且是看不出的,尤其适合对美观要求比较高的患者。
唯美金牌推荐-隐适美隐形矫正技术
1、唯美隐形矫正的每一副矫治器都是根据您的即时牙齿数据定制,每一副的更换,都代表着牙齿矫正进行的一个全新阶段。
2、采用先进纳米技术精制而成,完全透明、光滑,牙症者戴用时美观、舒适。
3、矫治器可以自行摘戴,基本在家自己完成即可。与传统固定矫治相比,口腔卫生易于维护,不影响进食、刷牙、社交活动等日常生活。
4、在矫治开始前即可在计算机上模拟显示整个矫治过程中患者牙颌的变化过程,实现了矫治过程的效果预测。
5、易于摘带,更加容易清洁,给牙齿一个干净卫生的“居住环境”,杜绝了牙损伤和牙周病。
郑州成人整牙价格,如有什么疑问,可以点击我们的在线专家,我们将为您提供详细的解答。
上一篇:成人隐形牙齿矫正贵吗
下一篇:成人牙齿错位怎么矫正
唯美口腔连锁·汇聚实力专家
唯美口腔连锁·品牌资讯