郑州矫正牙齿需要多少钱?与人交流时的发音不清晰,其根源在于牙齿畸形所造成的。牙齿畸形还容易引起口腔清洁不到位,造成口腔病菌的滋生,危害口腔的健康。那么郑州矫正牙齿需要多少钱呢?下面跟随郑州知名口腔科专家来了解一下。
郑州矫正牙齿需要多少钱
中韩·唯美口腔专家介绍说,郑州矫正牙齿需要多少钱?对于这个问题的回答没有具体的数字可言,因为牙齿矫正的价格问题受到很多因素的影响。
首先,年龄就是一个直接因素。成年人矫正牙齿的特点主要在于时间较长、处理更多、隐患也更多,所以进行牙齿矫正的时间也会更长,否则无法达到理想的矫正效果。儿童牙齿正畸一般需要一年左右,成年人牙齿正畸一般要两年左右。总的来说虽然成年以后也可以进行牙齿矫正,但是总是比儿童时期进行要费事许多。
其次,与患者的具体情况有关。情况不同,手术方案不同,牙齿矫正多少钱也不同。
再次,与手术方法的选择有关。牙齿矫正的方法有很多。当然,不同的手术方法,牙齿矫正多少钱是不同的;
更后,还与所选的医院有关。不同的医院由于治疗设备技术和专家的不同以及所在城市物价水平的不同,也会导致牙齿矫正多少钱的不同。
所以在整牙的时候都要选择不同的矫正方法,而且不同的年龄在郑州矫正牙齿,需要的矫正时间也都不同,价格是没有一个统一的标准,医生会根据我们自己的牙齿情况选择更好的矫正方案,来给出一个合理的价格。但要注意选择正规的牙齿整形医院,不要贪图一时的便宜而选择一些小的诊所,虽然会便宜一些,但是矫正效果无法保证。推荐阅读:韩式隐形正畸
牙齿矫正技术推荐——韩式隐形正畸
中韩·唯美口腔率先引进的韩式四维隐形正畸技术继承了传统的牙颌畸形矫治的理念,是现代口腔医学、计算机辅助四维诊断、个性化设计及数字化成型技术的完美结合,是正畸领域的新突破。韩式四维隐形正畸由知名专家坐诊,实现全程无痛无创快速疗法,专门治疗各种牙齿排列不整齐,咬合错位等牙齿形态问题,还你一口整齐、坚固耐用的健康原牙。点击在线咨询,了解牙齿矫正的优惠信息!在线预约可享更多优惠!
中韩·唯美口腔牙齿矫正专家推荐

李玉如,口腔正畸科。副教授,副主任医师,硕士生导师,口腔医学正畸专业硕士。1991年毕业于中山医科大学口腔系,一直从事口腔正畸的临床、教学和科研工作,临床经验丰富,并注重知识的学习更新,2004年硕士学位毕业。擅长正畸科各类牙颌畸形及疑难病例的矫治,对青少年反牙合、开牙合、功能性矫治、阻生牙的导萌牵引及成年人牙颌畸形、牙周病的正畸治疗有良好的疗效。
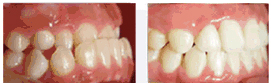
中韩·唯美口腔牙齿矫正前后对比图

中韩·唯美口腔拥有先进的网络远程会诊信息系统,为每一位患者争取更佳治疗时机、享受更知名医疗资源、申请更优惠的治疗价格。网上挂号—方便快捷,在线咨询时间获取更需信息 。
上一篇:成年人牙齿矫正效果如何
下一篇:成人做牙齿矫正多少钱
唯美口腔连锁·汇聚实力专家
唯美口腔连锁·品牌资讯