成年人牙齿矫正效果如何?有些成人朋友由于错过了牙齿矫正的更佳年龄,而对现在成人牙齿矫正的效果产生了怀疑,担心成人牙齿矫正无法取得应有的矫正效果。那么成年人牙齿矫正效果到底如何呢?下面请郑州知名口腔科专家来介绍一下。
成年人牙齿矫正效果如何?中韩·唯美口腔专家介绍:牙齿矫正,是通过各种矫正装置来调整颜面骨、牙齿、颌面神经肌肉三者之间的平衡和协调。就是说矫正是调整上下颌骨之间,上下牙齿之间以及牙齿与颌骨之间和联系它们的神经肌肉之间不正常的关系。形象地说,我们的矫正目的主要是:改善面型;排齐牙齿;提高咀嚼效能。
:成年人牙齿矫正效果应该由是否需要进行牙齿矫正来决定。只要需要成年人牙齿矫正并且需要进行成年人牙齿矫正的矫正者在进行了成年人牙齿矫正之后才能获得良好的理想的牙齿矫正效果。
第二:成年人牙齿矫正效果应该是由选择的牙齿矫正方法决定的。只要选择了适合的正确的牙齿矫正方法,才能够对“成年人牙齿矫正好不好”这个问题给出肯定的答案。
第三:成年人牙齿矫正效果也该由牙齿矫正医师水平来决定的。好的牙齿矫正医院才能够对矫正者有所帮助。推荐阅读:韩式隐形正畸
牙齿矫正技术推荐——韩式隐形正畸
中韩·唯美口腔率先引进的韩式四维隐形正畸技术继承了传统的牙颌畸形矫治的理念,是现代口腔医学、计算机辅助四维诊断、个性化设计及数字化成型技术的完美结合,是正畸领域的新突破。韩式四维隐形正畸由知名专家坐诊,实现全程无痛无创快速疗法,专门治疗各种牙齿排列不整齐,咬合错位等牙齿形态问题,还你一口整齐、坚固耐用的健康原牙。点击在线咨询,了解牙齿矫正的优惠信息!在线预约可享更多优惠!
中韩·唯美口腔牙齿矫正专家推荐

李玉如,口腔正畸科。副教授,副主任医师,硕士生导师,口腔医学正畸专业硕士。1991年毕业于中山医科大学口腔系,一直从事口腔正畸的临床、教学和科研工作,临床经验丰富,并注重知识的学习更新,2004年硕士学位毕业。擅长正畸科各类牙颌畸形及疑难病例的矫治,对青少年反牙合、开牙合、功能性矫治、阻生牙的导萌牵引及成年人牙颌畸形、牙周病的正畸治疗有良好的疗效。
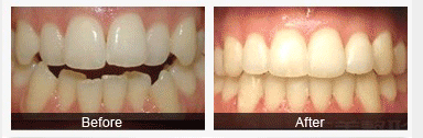
中韩·唯美口腔牙齿矫正前后对比图

在线咨询,一分钟预约挂号,医务人员将会与您一对一进行沟通。中韩·唯美口腔有中国更专业的网上挂号平台,为您提供更便捷的预约就诊服务,为您推荐全国资质更深、技术更好的治疗专家,让你从此刻开始摆脱疾病的困扰。
上一篇:成年人牙齿矫正多少钱
下一篇:郑州矫正牙齿需要多少钱
唯美口腔连锁·汇聚实力专家
唯美口腔连锁·品牌资讯