牙齿正畸需要多少钱?改变畸形牙齿的状况,已经成为我们对自己树立良好形象的一个重要举措,而且能够更好的保障我们的口腔健康,维护我们正常的生活节奏。那么牙齿正畸需要多少钱呢?
牙齿正畸需要多少钱
1、牙齿矫正品质不同价格不同,也可以说材料不同价格不同。先从牙齿矫正的材料看,有进口和国产之分,在性能和效果上有较大区别,牙齿矫正价格自然就不同。牙齿矫正不同材质其机械性能、物理性能、化学性能、生物相容性、美观性等都有很大区别。当然也包括印模材料、模型材料、临时牙材料等。每一款牙齿矫正都有其适合的修复指征,并不是适合所有的情况。通常医生会根据您的情况帮您选择适合的牙齿矫正方案。
2、与医院有关。一个专业的口腔机构,在硬件投入和软件建设上是非常重视的,一套综合的牙齿美容设备就是几百万,医院的技术、质量、信誉、服务也不尽相同,顾客的承诺也是不一样的。
3、牙齿矫正价格与牙齿基础条件有关,不同患者由于牙齿病变的情况不同,牙齿矫正所用的材料和矫正牙齿的数量都不同,自然牙齿矫正价格也不同。做牙齿矫正之前会通过3D数码定位系统对您的牙列、牙齿的咬合情况进行综合分析,并通过精确的对比进行设计方案。看做几颗可以达到更佳的咬合状态,另外看你的牙齿情况,选择适合的材质,保证与口腔高度相容。推荐阅读:韩式隐形正畸
牙齿矫正技术推荐——韩式隐形正畸
中韩·唯美口腔率先引进的韩式四维隐形正畸技术继承了传统的牙颌畸形矫治的理念,是现代口腔医学、计算机辅助四维诊断、个性化设计及数字化成型技术的完美结合,是正畸领域的新突破。韩式四维隐形正畸由知名专家坐诊,实现全程无痛无创快速疗法,专门治疗各种牙齿排列不整齐,咬合错位等牙齿形态问题,还你一口整齐、坚固耐用的健康原牙。点击在线咨询,了解牙齿矫正的优惠信息!在线预约可享更多优惠!
中韩·唯美口腔牙齿矫正专家推荐

李玉如,口腔正畸科。副教授,副主任医师,硕士生导师,口腔医学正畸专业硕士。1991年毕业于中山医科大学口腔系,一直从事口腔正畸的临床、教学和科研工作,临床经验丰富,并注重知识的学习更新,2004年硕士学位毕业。擅长正畸科各类牙颌畸形及疑难病例的矫治,对青少年反牙合、开牙合、功能性矫治、阻生牙的导萌牵引及成年人牙颌畸形、牙周病的正畸治疗有良好的疗效。
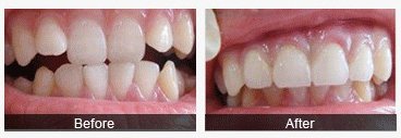
中韩·唯美口腔牙齿矫正前后对比图

在线咨询,一分钟预约挂号,医务人员将会与您一对一进行沟通。中韩·唯美口腔有中国更专业的网上挂号平台,为您提供更便捷的预约就诊服务,为您推荐全国资质更深、技术更好的治疗专家,让你从此刻开始摆脱疾病的困扰。
上一篇:畸形牙矫正价格是多少
下一篇:错颌畸形的危害性是什么
唯美口腔连锁·汇聚实力专家
唯美口腔连锁·品牌资讯