畸形牙矫正价格是多少?牙齿畸形的问题是许多朋友不得不面临的问题,畸形的牙齿不仅给我们带来了面容上的不美观,而且若是没有得到及时的矫正则会引起一系列严重的口腔疾病。那么畸形牙矫正价格是多少呢?
畸形牙矫正价格是多少
一、牙齿矫正价格与医生技术有关
医生不仅要精通口腔的治疗,也要有较强的审美理念、还有赖于临床医师专业的修复理论支撑,规范的操作,正确的设计,和技师的密切配合等。所以非一般的治疗型的口腔所能把握的,牙齿矫正一定要到正规的牙科医院。
二、矫正价格与患者个人情况有关
1、患者的不同的症状、不同的体质、不同的手术方案、身体情况、身体反应、复原能力都决定了矫正价格的不同,说到底更后还是患者决定矫正价格。
三、矫正价格与矫正医院
专家有关矫正并不是一个简单的手术,矫正是否安全的关键在于矫正专家是否具有流行的时尚审美观和熟练的技术,在于矫正医院是否拥有先进的设备。矫正医院所拥有的医资,设备,技术,层次的不同,也影响了矫正价格的高低。推荐阅读:韩式隐形正畸
牙齿矫正技术推荐——韩式隐形正畸
中韩·唯美口腔率先引进的韩式四维隐形正畸技术继承了传统的牙颌畸形矫治的理念,是现代口腔医学、计算机辅助四维诊断、个性化设计及数字化成型技术的完美结合,是正畸领域的新突破。韩式四维隐形正畸由知名专家坐诊,实现全程无痛无创快速疗法,专门治疗各种牙齿排列不整齐,咬合错位等牙齿形态问题,还你一口整齐、坚固耐用的健康原牙。点击在线咨询,了解牙齿矫正的优惠信息!在线预约可享更多优惠!
中韩·唯美口腔牙齿矫正专家推荐

李玉如,口腔正畸科。副教授,副主任医师,硕士生导师,口腔医学正畸专业硕士。1991年毕业于中山医科大学口腔系,一直从事口腔正畸的临床、教学和科研工作,临床经验丰富,并注重知识的学习更新,2004年硕士学位毕业。擅长正畸科各类牙颌畸形及疑难病例的矫治,对青少年反牙合、开牙合、功能性矫治、阻生牙的导萌牵引及成年人牙颌畸形、牙周病的正畸治疗有良好的疗效。
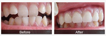
中韩·唯美口腔牙齿矫正前后对比图

中韩·唯美口腔温馨提示:如果你在阅读文章时碰到不清楚的地方,可以通过在线咨询。咨询我们专家;如果你需要看病又不想排队挂号,也可以通过这里提前预约,我们将免费为你安排。
上一篇:牙齿矫正多少钱的影响因素
下一篇:牙齿正畸需要多少钱
唯美口腔连锁·汇聚实力专家
唯美口腔连锁·品牌资讯