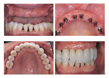
种植牙体安什么牙好,一颗种植牙主要分为种植体、基台和牙冠三部分。而选择好的种植牙材料主要分为种植体的选择和牙冠的选择,下面就具体的为大家介绍一下.

郑州更好的口腔医院郑州唯美口腔医院专家介绍说,种植牙技术一直倍受各界人士的关注,很多牙科专家都十分看好种植牙,不仅是因为它足以媲美真牙的咀嚼功能,还有它超长的使用寿命。当然,这些都跟种植牙的材料有很大的关系。那么,常见的种植牙材料有哪些呢?种植牙用什么材料好呢?
种植体材料
种植体常用的材料是钛,纯钛质地轻,弹性低抗震大,可以承受咀嚼压力。更主要,纯钛的生物相容性能让种植体更好的在人体牙槽骨中,不与人体产生化学反应。
而种植体材料,要具有以下几点性能才能称得上是理想的种植体材料:
1、良好的生物相容性:硬组织及体液接触时,材料的力学性能与骨组织相近,以避免种植体受力时在与骨组织的界面上形成过大应力集中。
2、良好的机械性能:良好的加工性能才能满足形态设计的需要,咬合是牙的基本功能,种植体能够承载静态和动态咀嚼咬合力,不致在漫长的使用过程中发生折断、变形、磨损。
3、良好的组织相容性:材料植入后与机体软、硬组织及体液接触时,具有良好的亲和关系。
4、良好的的耐消毒灭菌性能:种植体在植入前必须严格地施行消毒灭菌,因此要求所用的种植材料不会因高压、高温、各种消毒液体和气体的浸泡熏蒸等而发生变性,又不会滞存残量消毒物质,以保证种植手术的安全和成功。
现在,唯美口腔种植牙采用更新的即刻种植技术,使这些问题得到良好的解决。该技术可以30分钟"种"出一口美牙。并且具有拔了即种、种了即用、精确微创、快到无痛、全息可视的神奇效果。推荐阅读:做一颗种植牙要多少钱?
微创即刻种植技术一经推出,即受到广大中老年患者的青睐追捧。有别于以往传统种植牙的弊端,微创即刻种植牙更具临床优势,成活率更高可达95%以上,其核心大致可总结为“快、准、精、微’四个字。”
1、即拔即种、5-10分钟、一次成型
2、精确定位、精确植入、无缝对接
3、精、细节精微、环节精细、技巧精湛
4、微小切口、微创无痛、快速愈合
唯美是专业、专注、专一的牙齿美容机构
郑州唯美口腔医院秉承一贯的品牌形象,打造高端、优美的就诊环境;在专家团队建设上,先后与美国、瑞士、德国、韩国、日本、香港、台湾等地的口腔医疗机构开展经验技术交流活动,吸纳、汇聚了诸多国内外着名专家、学者投身于口腔医疗服务事业之中,培养并拥有一支医技精湛的齿科专家团队,逐步形成口腔美容服务及管理模式。
种植牙体安什么牙好,如果您对以上的内容,还有任何不明白的地方,欢迎点击在线咨询,与专家进行一对一交流,同时网上咨询预约,还可享免挂号费,无需排队优先就诊服务。
唯美口腔连锁·汇聚实力专家
唯美口腔连锁·品牌资讯