种植牙步骤,现代牙齿健康问题,大多数人都会或多或少有缺点,更多的则是上了年纪也或年轻时候就出现缺牙,龋洞的,这是令人烦恼的。郑州唯美口腔医院专家指出,遇到这样的问题,一般选择的就是烤瓷牙或者种植牙,但是在寿命及自然度上越来越多的人选择种植牙,那么,什么是种植牙?种植牙的过程是怎样的?

郑州更好的口腔医院什么是种植牙
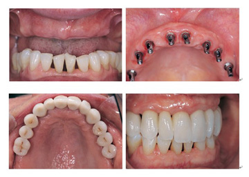
人工种植牙又称种植义齿,它是用生物材料制成的一种仿生牙,分为植入人体颌骨内起支持固位作用的种植体(牙根部分)和承担咀嚼作用的牙冠两部分。医生根据患者失牙后牙槽骨及颌骨的变化,选用一定形状的种植体植入颌骨内作为人造牙根,然后在其露出口腔内的种植桩上安装牙冠,获得与自体牙相似的形态及功能。
种植牙的过程:
检查和设计医师详细询问患者必要的全身和口腔检查,摄X光片,了解失牙区的骨质和骨量,以确定患者是否适宜进行牙种植根据患者的要求为患者提供更佳治疗。
植入种植体在局部麻醉下,将种植体种入牙骨床内严密缝合,7-10天后拆线。
骨愈合期种植体植入后,上颌一般6个月,下颌一般3个月的骨愈合期。若植入时进行了植骨等手术,骨愈合期则相应延长。
连接愈合基台当种植体与颌骨结合后,在种植体上连接一个愈合基台,使软组织三周内成形。
完成修复当软组织袖口形成后医生用一永久性基台替换下愈合基台,取印模,对修复的牙齿进行设计,牙冠或牙桥一做好,您就可配戴由种植体支持的牙齿了。
此外,口腔专家还强调种植牙过程在4-6个月,也就是种植体与颌骨形成骨结合后进行(上颌需6个月以上、下颌需4个月以上),手术在局麻下用特制的器械在植入种植体的相对应的牙龈上切一个小口,暴露种植体上端后再安装牙龈基桩。二期手术后7-10天即可修复取模,制作种植桥架及假牙。种植桥架及假牙制作约需10-14天完成,试戴成功后即可佩戴种植假牙。此外,种植假牙修复后,年要在3个月、6个月时复查一次,以后更好每年都到专科医院复查。推荐阅读:郑州做多颗种植牙哪家医院好?
郑州唯美口腔医院推荐--微创即刻种植牙
唯美口腔种植牙采用更新的即刻种植技术,使这些问题得到良好的解决。该技术可以30分钟"种"出一口美牙。并且具有拔了即种、种了即用、精确微创、快到无痛、全息可视的神奇效果。
微创即刻种植技术一经推出,即受到广大中老年患者的青睐追捧。有别于以往传统种植牙的弊端,微创即刻种植牙更具临床优势,成活率更高可达95%以上,其核心大致可总结为“快、准、精、微’四个字。”
1、即拔即种、5-10分钟、一次成型
2、精确定位、精确植入、无缝对接
3、精、细节精微、环节精细、技巧精湛
4、微小切口、微创无痛、快速愈合
郑州唯美口腔医院种植牙步骤,如果您对以上的内容,还有任何不明白的地方,欢迎点击在线咨询,与专家进行一对一交流,同时网上咨询预约,还可享免挂号费,无需排队优先就诊服务。
上一篇:种一颗牙要多少钱
下一篇:掉牙是补牙好还是种植牙
唯美口腔连锁·汇聚实力专家
唯美口腔连锁·品牌资讯