人工种植牙费用多少,说到人工种植牙价格,口腔中心专家表示,人工种植牙价格上万元,不过人工种植牙能取得的效果可是非同小可,很多患者做了人工种植牙修复,都认为值,尤其是对于牙齿缺失的患者来说,人工种植牙可谓是理想!那么,人工种植牙费用多少?下面听听郑州唯美口腔医院的介绍。

人工种植牙费用多少?
1、患者牙齿的情况:患者的牙齿情况也是被考虑的范畴治内,因为每个人牙齿缺失的情况是不同的,就会存在不同的治疗方案,难易程度也是不同的,所以会有不同的收费。
2、种植牙品牌:品牌是影响种植牙价格的因素,也是影响种植牙价格的更主要的因素,我们平时见过的种植牙的品牌可以有多种多样他们的价格就有明显的差异,这点是毋庸置疑的。
3、医生的水平:医生的技术水平也是会影响到种植牙的价格的,因为种植牙是国外引进的先进的技术,并不是每个医生都精通,而技术和经验都丰富的专家,种植牙做出来的效果肯定是非常好的所以价格会高一点。
4、牙冠种类的选择:我们平时见过的牙冠种类有好几种,比如,根据固定方式就有固定的以及移动的两种,还可以分为金属的和非金属,因此种植牙的价格就有了差异。
人工种植牙是一项高新医学技术,在国外欧美经济发达国家已普遍开展。随着新的种植牙系统的开发研制,我国的种植牙也在普及,由于技术的不断发展,人工种植牙价格大大降低。所以它的价格会因为各种条件的制约而调整。
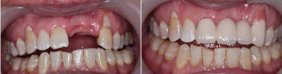
郑州唯美口腔医院推荐--微创即刻种植牙
种植牙技术是口腔医治学疗上近年开展的新项目。是以种植材料埋植到牙槽骨内(种植体),再在其上做假牙的一种"假牙"修复方法。
现在,唯美口腔种植牙采用更新的即刻种植技术,使这些问题得到良好的解决。该技术可以30分钟 "种"出一口美牙。并且具有拔了即种、种了即用、精确微创、快到无痛、全息可视的神奇效果。
郑州唯美口腔医院全球5大种植牙上乘材料供应商战略合作伙伴,包括瑞典诺贝尔NOBEL种植体、领先的韩式微创即刻种植系统、韩式超导亲骨种植系统以及韩国奥齿泰种植体,先进种植体拥有极高的表面活性,生物相容性极好,稳定性更高,治疗后的牙齿形态和色泽媲美真牙,彻底地恢复真牙的咀嚼功能。
人工种植牙费用多少,如果您对以上的内容,还有任何不明白的地方,欢迎点击在线咨询,与专家进行一对一交流,同时网上咨询预约,还可享免挂号费,无需排队优先就诊服务。
上一篇:种牙后多长时间能饮酒
下一篇:镶牙和植牙有什么不一样
唯美口腔连锁·汇聚实力专家
唯美口腔连锁·品牌资讯