为什么种植牙那么贵?种植牙是修复牙齿缺失的更好方法,许多牙齿缺失的朋友都想通过种植牙来修复牙齿的缺失问题,可是当听到种植牙的价格之后,又不免有些犹豫,感觉种植牙的价格太贵。下面跟随郑州知名口腔科专家来了解一下种植牙价格贵的原因。
中韩·唯美口腔介绍,种植牙的价格高是由很多条件限制的,主要是以下三个方面:
决定种植牙的价格的三大因素:
1、种植牙材料限制严格:种植牙的加工工艺复杂且要求极其精确。目前,世界上较着名的种植系统,例如瑞士ITI种植系统,种植体及配件多种多样,用于满足不同的修复设计需要,所以成本很高;
2、临床上开展种植牙技术需要配备较高的设备环境,例如大型X线诊断设备、临床手术设备、技工设备、手术支持设备(心电监护、血象分析等)以及在义齿制作时需要的一些独特的较贵重的修复材料;
3、种植牙是由经过特殊培训的种植外科医生、种植修复医生、种植技师及相应的助手组成的团队来共同完成的,需要的人员成本比较大。推荐阅读:亲骨超导种植技术
牙齿种植技术推荐——亲骨超导种植技术
中韩·唯美口腔独家引进的亲骨超导即刻种植是采用普兰梅卡口腔全景机进行3D口腔CT成像,根据自身牙体骨骼或以自身骨组织系数来定制骨粉,比起传统的人造骨粉,更加精确无误,而且生物相容性更好、更稳定牢固、愈合更迅速。由于3D口腔CT成像的直接应用,使亲骨种植技术大大的提高了,并象征着口腔种植领域的发展,迈出了革命性的一步。点击在线咨询,了解种植牙的优惠信息!在线预约可享更多优惠!
中韩·唯美口腔牙齿种植专家推荐

郑淳奎,口腔颌面外科硕士、口腔修复医学博士。精堪技术:种植牙修复。毕业于韩国首尔大学牙医学院,1995年赴瑞典皇家学院口腔医学院、美国华盛顿大学口腔医学院求学,先后获得了口腔颌面外科硕士、牙周病学硕士、口腔修复医学博士等学位。回国后将韩国整形医学与德国CEREC 3D数字齿雕系统结合,革新了口腔美容设计的传统治疗方法,获韩国齿周科学会新人学术奖及保健福利部长官奖。2000年又赴德国深造普士即刻种植牙技术,并成为位为德国人实施种植手术的亚洲专家。对各种种植修复技术有很深的造诣,先后在日本齿周科学会、日本齿科学会发表论文,获大韩齿周科学会新人学术奖,获韩国保健福利部长官奖,在韩国牙科界享有很高的美誉。
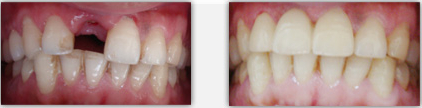
中韩·唯美口腔牙齿种植前后对比图

如果您还有想要了解的情况,可以点击我们的在线咨询,中韩·唯美口腔的在线专家会给您更专业,更详细的解答,或是拨打我们的24小时康复热线,与专家一对一详解。
上一篇:诺贝尔种植牙简介
下一篇:种植牙修复有哪些适应症
唯美口腔连锁·汇聚实力专家
唯美口腔连锁·品牌资讯