成年人镶种植牙大概多少钱?牙齿缺失之后,我们口腔的咀嚼功能受到了严重的影响,进而增加了胃部的消化负担,而且牙齿缺失之后还遭受着口腔疾病危害的隐患。种植牙是修复牙齿缺失更好的方法,那么成人镶种植牙大概多少钱呢?
成年人镶种植牙大概多少钱?中韩·唯美口腔专家介绍影响影响种植牙价格的因素:
1、对于同一个地方,同一家医院来说,医生也是决定成年人镶种植牙大概多少钱的因素,医生的技术水准,也是可以决定价格的,有的医生技术好的,它们的价格就不同,医生技术稍微差的,他们的价格也就有所不同,医生的技术主要就是经验和知识的领先,这样价格就不同了。
2、大家都知道成人镶种植牙其实还是要包含烤瓷牙冠部分的费用,烤瓷牙材料的多种多样,也就决定了种植体在选择烤瓷牙冠上也是有很大的空间的,因此成年人镶种植牙大概多少钱关键之处也要看烤瓷牙冠材料的选择,好的烤瓷牙材料价格自然要贵些,当然这样的效果也更加的好。哪种材料适合你呢?点击在线咨询,直接与专家对话了解详情!
3、不同地区的消费水平是不一样的,成年人镶种植牙大概多少钱也是一样的,不同地区由于不同的市场,收费自然也就有所差异,但是这种差异性往往不是太明显的。中韩·唯美口腔的一切收费都是根据物价部门的严格规定收取的,所有费用都是合理的正规的,在国家相关法律法规的监督下,受相关部门的管理,保障收费公平公开。推荐阅读:亲骨超导种植技术
牙齿种植技术推荐——亲骨超导种植技术
中韩·唯美口腔独家引进的亲骨超导即刻种植是采用普兰梅卡口腔全景机进行3D口腔CT成像,根据自身牙体骨骼或以自身骨组织系数来定制骨粉,比起传统的人造骨粉,更加精确无误,而且生物相容性更好、更稳定牢固、愈合更迅速。由于3D口腔CT成像的直接应用,使亲骨种植技术大大的提高了,并象征着口腔种植领域的发展,迈出了革命性的一步。点击在线咨询,了解种植牙的优惠信息!在线预约可享更多优惠!
中韩·唯美口腔牙齿种植专家推荐

徐雅轩,国内著名CAM/CAD修复专家,精湛技术:牙齿矫正、牙齿美容修复、1小时德国西诺德CAD/CAM3D齿雕全瓷修复。毕业于南京医科大学口腔专业,长期从事口腔种植临床工作,在部队三甲医院工作多年,拥有多年深厚的口腔种植与研究经验。曾应邀参加瑞士ITI种植培训、德国西诺德3D齿雕培训,并出任多国种植集团特邀医师。其娴熟的种植技术和丰富的临床经验有机结合,注重从顾客的角度为出发点制定治疗方案,行医严谨,待人真诚,让广大缺牙顾客重新拥有完美的牙齿,深得顾客好评。
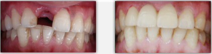
中韩·唯美口腔牙齿种植前后对比图

如果您觉得我们的文章没有解释的很清楚,或者还有其他疑问,您可以直接点击我们的在线咨询医生,中韩·唯美口腔专业咨询医生会给您耐心的,详细的解答,并给您一个满意的答复!
上一篇:做种植牙修复牙齿缺失安全吗
下一篇:种植牙优点有哪些
唯美口腔连锁·汇聚实力专家
唯美口腔连锁·品牌资讯