近几年来,人们的生活水平不断提高,对生活和本身的要求也高了许多,对健康美丽的追求使得牙齿也进入了人们的视线,可是种种意外导致很多人的牙齿缺损,种植牙是修复牙齿缺损的有效手段,那么做种植牙手术有哪些好处?
生活中你会发现很多人做过种植牙手术,种植牙已经和我们的生活密切联系起来,下面由唯美口腔专家给我们介绍种植牙的一些好处:
1 、功能强:能很好地恢复牙齿功能,咀嚼功能大大优于其他传统假牙。
2 、固位不磨牙:依靠自身的人工牙根进行修复,与牙槽骨紧密结合,像真牙一样扎根在口腔里,具有很强的固位力与稳定性,而且不磨损邻近牙齿,没有伤害。
3 、操作简单:种植牙手术是一个较小的牙槽外科手术,类似拔牙,采用局部麻醉,创伤小,术后即可进食,几乎无痛苦;
4、美观舒适:可以根据就诊者的脸型、其他牙齿的形状与颜色制作牙冠,达到整体协调和美观的更佳效果,不使用活动假牙必需的基托与卡环,没有异物感,非常舒适、方便,而且有利于保持口腔的清洁卫生。了解更多种植牙,点击在线咨询,向专家详细请教!
一般种植体植入术只需要几十分钟至数小时即可以完成。由于选用的是与人体相容性极好的生物材料,种植牙对人体不产生任何不良的副作用。如果种植牙的骨结合失败,也就是种植牙没有成功,也可以取出以后待骨愈合再做种植,或者改用其他修复方法。
中韩·唯美口腔牙齿种植技术推荐
中韩·唯美口腔独家引进的“亲骨”种植技术是采用普兰梅卡口腔全景机进行3D口腔CT成像,根据自身牙体骨骼或以自身骨组织系数来定制骨粉,比起传统的人造骨粉,更加精确无误,而且生物相容性更好、更稳定牢固、愈合更迅速。由于3D口腔CT成像的直接应用,使“亲骨”种植技术大大的提高了,并象征着口腔种植领域的发展,迈出了革命性的一步。推荐阅读:亲骨超导种植技术
中韩·唯美口腔牙齿种植专家推荐

徐雅轩,国内著名CAM/CAD修复专家,精湛技术:牙齿矫正、1小时德国西诺德CAD/CAM3D齿雕全瓷修复、牙齿美容修复。毕业于南京医科大学口腔专业,长期从事口腔种植临床工作,在部队三甲医院工作多年,拥有多年深厚的口腔种植与研究经验。曾应邀参加瑞士ITI种植培训、德国西诺德3D齿雕培训,并出任多国种植集团特邀医师。其娴熟的种植技术和丰富的临床经验有机结合,注重从顾客的角度为出发点制定治疗方案,行医严谨,待人真诚,让广大缺牙顾客重新拥有完美的牙齿,深得顾客好评。点击在线咨询,了解牙齿种植的优惠信息!在线预约可享更多优惠!
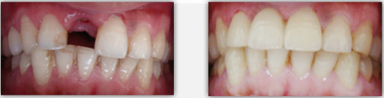
中韩·唯美口腔种植牙前后对比图

温馨提示:通过对上述种植牙好处的了解,想必也打消了您的很多顾虑,种植牙一定要及时修复,中韩·唯美口腔医院是一家正规、高档的口腔医院具有先进一流的诊疗设备,专业知名的知名医生,实施无痛治疗,满足患者要求,以服务顾客为。唯美口腔真诚欢迎您的咨询!
上一篇:种植牙修复牙缺失怎么样
下一篇:种植牙修复牙齿缺失多少钱
唯美口腔连锁·汇聚实力专家
唯美口腔连锁·品牌资讯