种植牙费用是多少?牙缺失,空悲切,凉意涌上心间,更是缺失烦。牙齿缺失常常带来的就是这样的感受,让我们禁锢在生活的不幸角落里,体验着牙齿缺失的危害和牙齿缺失所产生的烦忧。种植牙是修复牙齿缺失更好的方法,那么种植牙费用是多少呢?
中韩·唯美口腔专家介绍:一般来说,一颗种植牙的费用基本包括了种植体费用、修复基台的费用、手术费用以及后期烤瓷牙冠的费用,因而种植牙的费用受到很多的因素的影响,所以具有一定的不确定性。具体受以下因素影响:
1、种植义齿材料限制严格。种植牙体的加工工艺复杂且要求极其精确。目前,世界上缴著名的种植系统,例如韩式亲骨种植系统,种植体及配件多种多样,用于满足不同的修复设计需要,所以成本很高,使得种植牙费用无法降低的主要原因。
2、种植牙是由经过特殊培训的种植外科医生、种植牙修复医生、种植技师及相应的助手组成的团队来共同完成的,需要的人员成本比较大,也易影响到种植牙费用。
3、临床上开展种植牙技术需要配备较高的设备环境,例如大型x线诊断设备、临床手术设备、技工设备、手术支持设备(心电监护、血象分析等)以及在义齿制作时需要的一些独特的较贵重的修复材料,因此,这也是属于影响种植牙费用的一个因素。
种植牙更好的方法——韩式亲骨超导种植
中韩唯美独家引进的“亲骨”种植技术是采用普兰梅卡口腔全景机进行3D口腔CT成像,根据自身牙体骨骼或以自身骨组织系数来定制骨粉,比起传统的人造骨粉,更加精确无误,而且生物相容性更好、更稳定牢固、愈合更迅速。由于3D口腔CT成像的直接应用,使“亲骨”种植技术大大的提高了,并象征着口腔种植领域的发展,迈出了革命性的一步。点击在线咨询,了解种植牙的优惠活动,在线预约可享更多优惠!推荐阅读:亲骨超导种植技术
中韩·唯美口腔牙齿种植专家推荐

徐雅轩,国内著名CAM/CAD修复专家,精湛技术:牙齿矫正、牙齿美容修复、1小时德国西诺德CAD/CAM3D齿雕全瓷修复。毕业于南京医科大学口腔专业,长期从事口腔种植临床工作,在部队三甲医院工作多年,拥有多年深厚的口腔种植与研究经验。曾应邀参加瑞士ITI种植培训、德国西诺德3D齿雕培训,并出任多国种植集团特邀医师。其娴熟的种植技术和丰富的临床经验有机结合,注重从顾客的角度为出发点制定治疗方案,行医严谨,待人真诚,让广大缺牙顾客重新拥有完美的牙齿,深得顾客好评。
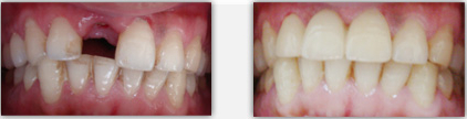
中韩·唯美口腔牙齿种植前后对比图

如果您觉得我们的文章没有解释的很清楚,或者还有其他疑问,您可以直接点击我们的在线咨询医生,中韩·唯美口腔专业咨询医生会给您耐心的,详细的解答,并给您一个满意的答复!
上一篇:郑州种植牙最好的方法
下一篇:牙齿缺失选择种植牙好吗
唯美口腔连锁·汇聚实力专家
唯美口腔连锁·品牌资讯