郑州种植牙哪个医院好?当牙齿缺失之后,精神抖擞被容颜已逝所代替,牙齿咀嚼功能下降,口腔健康遭遇前所未有的威胁让我们不得不去寻求牙齿缺失更好的办法,牙科技术的发展,出现了牙齿缺失修复更好的方法种——种植牙,那么郑州种植牙那个医院好呢?
郑州种植牙哪个医院好——做种植牙,理想中韩·唯美口腔
1.选择种植牙整形首先要看环境:唯美口腔是一家化高端口腔私人会所,是中原地区数字化口腔专业机构,集预防、保健、治疗、修复为一体,与韩国、法国、美国等国家和地区的口腔医疗单位建立了良好的学术交流与技术合作关系。采用瑞典melag消毒流程,所有设施规定严格消毒并使用每人一套的一次性器械,确保消毒好、无污染。
2.做种植牙要看技术:德国原装进口,集全景、头颅、CBCT功能于一体,是世界上更先进、功能更强大的影像系统。独特3D成像技术,具有专业技术的头颅四点固定装置,360°旋转,可将口腔内部所有细节清晰呈现在医生眼前。德国西诺德牙科诊疗机,噪音低,刚性强,寿命长久,运行平稳。经人体工程学设计的病人牙科椅,全自动管路消毒系统,全面防止交叉感染。
3.做种植牙看专家:韩国专家郑淳奎凭借他广博的学识,带领唯美口腔知名专家团队一次次进行技术革新,不断突破传统口腔修复治疗技法,创造出更多美丽的微笑。唯美口腔医院专家团队技术精湛,各有所长,与韩国、法国、美国等国家和地区的口腔医疗单位建立了良好的学术交流与技术合作关系。
牙齿种植技术推荐——亲骨超导种植技术
中韩唯美独家引进的“亲骨”种植技术是采用普兰梅卡口腔全景机进行3D口腔CT成像,根据自身牙体骨骼或以自身骨组织系数来定制骨粉,比起传统的人造骨粉,更加精确无误,而且生物相容性更好、更稳定牢固、愈合更迅速。由于3D口腔CT成像的直接应用,使“亲骨”种植技术大大的提高了,并象征着口腔种植领域的发展,迈出了革命性的一步。唯美的管理严格遵循化医院管理服务标准,引进先进消毒管理体系,完全杜绝交叉感染,保证治疗质量。其手术室是中原标准口腔手术室营运基地,全程无菌可视化操作。采用数码诊疗操作流程及管理系统,与更先进的口腔医疗体系紧密接轨使口腔诊疗技术创伤更小、痛苦更小、时间更短、效果更好。点击在线咨询,了解牙齿种植的优惠信息!在线预约可享更多优惠!推荐阅读:亲骨超导种植技术
中韩·唯美口腔牙齿种植专家推荐

郑淳奎,口腔颌面外科硕士、口腔修复医学博士。精堪技术:种植牙修复。毕业于韩国首尔大学牙医学院,1995年赴瑞典皇家学院口腔医学院、美国华盛顿大学口腔医学院求学,先后获得了口腔颌面外科硕士、牙周病学硕士、口腔修复医学博士等学位。回国后将韩国整形医学与德国CEREC 3D数字齿雕系统结合,革新了口腔美容设计的传统治疗方法,获韩国齿周科学会新人学术奖及保健福利部长官奖。2000年又赴德国深造普士即刻种植牙技术,并成为位为德国人实施种植手术的亚洲专家。对各种种植修复技术有很深的造诣,先后在日本齿周科学会、日本齿科学会发表论文,获大韩齿周科学会新人学术奖,获韩国保健福利部长官奖,在韩国牙科界享有很高的美誉。
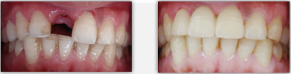
中韩·唯美口腔牙齿种植前后对比图

如果您觉得我们的文章没有解释的很清楚,或者还有其他疑问,您可以直接点击我们的在线咨询医生,中韩·唯美口腔的专业咨询医生会给您耐心的,详细的解答,并给您一个满意的答复!
上一篇:口腔种植手术术前准备工作
下一篇:郑州做种植牙好的医院
唯美口腔连锁·汇聚实力专家
唯美口腔连锁·品牌资讯