植牙一个要多少钱,很多朋友目前对于种一颗牙齿价格不是很了解的,由于种植牙齿价格相关的因素很多,所以对于植一颗牙齿多少钱其实没有确切的数字,下面我们就一起来看看,影响种植牙的价格因素有哪些呢?

1、种植牙种类:种类是影响烤瓷牙冠价格的因素,也是影响种植牙的更主要的因素,我们平时见过的烤瓷牙的种类可以有多种多样,比如,根据固定方式就有固定的,以及移动的两种,可以分为金属的,和非金属的,烤瓷牙冠种类不同,价格各异。
2、种植牙品牌:品牌是影响种植牙价格的因素,也是影响种植牙价格的更主要的因素,我们平时见过的种植牙的品牌可以有多种多样,他们的价格就有明显的差异,这点是毋庸置疑的。
3、医疗人才要求高:种植牙是由经过特殊培训的种植外科医生、种植修复医生、种植技师及相应的助手组成的团队来共同完成的,需要的人员成本比较大,这也在一定程度上影响了种植牙价格。
植牙哪里好?郑州唯美口腔医院的优势
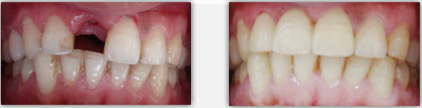
现在,唯美口腔种植牙采用更新的即刻种植技术,使这些问题得到良好的解决。该技术可以30分钟 "种"出一口美牙。并且具有拔了即种、种了即用、精确微创、快到无痛、全息可视的神奇效果。
微创即刻种植技术一经推出,即受到广大中老年患者的青睐追捧。有别于以往传统种植牙的弊端,微创即刻种植牙更具临床优势,成活率更高可达95%以上,其核心大致可总结为“快、准、精、微’四个字。”
1、即拔即种、5-10分钟、一次成型
2、精确定位、精确植入、无缝对接
3、精、细节精微、环节精细、技巧精湛
4、微小切口、微创无痛、快速愈合
唯美口腔牙齿种植专家推荐
徐雅轩,国内著名CAM/CAD修复专家,精湛技术:牙齿矫正、牙齿美容修复、1小时德国西诺德CAD/CAM3D齿雕全瓷修复.毕业于郑州医科大学口腔专业,长期从事口腔种植临床工作,在部队三甲医院工作多年,拥有多年深厚的口腔种植与研究经验.曾应邀参加瑞士ITI种植培训、德国西诺德3D齿雕培训,并出任多国种植集团特邀医师.其娴熟的种植技术和丰富的临床经验有机结合,注重从顾客的角度为出发点制定治疗方案,行医严谨,待人真诚,让广大缺牙顾客重新拥有完美的牙齿,深得顾客好评.
植牙一个要多少钱,以上就是“植牙一个要多少钱”的简单介绍,如还有什么不明白的,可点击我们的在线咨询,我们的专家将为您提供详细的解答。
上一篇:一颗种植牙需要多少钱
下一篇:人工种植牙价格
唯美口腔连锁·汇聚实力专家
唯美口腔连锁·品牌资讯