郑州种植牙费用是多少?牙齿的缺失不仅禁锢了我们对食物的选择,口腔的健康也免不了面临着严重的疾病危害。随着口腔技术的发展,现在牙齿缺失的更好修复方法的种植牙,种植牙能让我们的牙齿功能恢复如初,那么郑州种植牙费用是多少呢?
中韩·唯美口腔专家介绍:种植牙的价格不是固定的,受多种因素的影响,不同的地区、医院,可能种植牙的价格都会有所不同。但大体上来说,种植牙的价格并不是太高,都在患者朋友可以承受的范围内。
影响种植牙价格的因素
1. 种植牙材料的影响:种植牙的材料有多种类型,不同的种植牙材料,价格自然也有所差异。种植牙的更终价格还是要根据患者所选择的种植牙的材料而定。
2. 种植牙系统的影响:种植牙的系统有很多种,如:韩国亲骨超导种植、奥齿泰种植系统、安多健种植、瑞士亲水性种植牙等等,不同种植牙系统价格都会有所差异。哪种牙齿种植技术适合你呢?点击在线咨询与专家直接对话,了解详情!
种植牙技术推荐——韩国亲骨超导种植技术
中韩·唯美口腔独家引进的“亲骨”种植技术是采用普兰梅卡口腔全景机进行3D口腔CT成像,根据自身牙体骨骼或以自身骨组织系数来定制骨粉,比起传统的人造骨粉,更加精确无误,而且生物相容性更好、更稳定牢固、愈合更迅速。由于3D口腔CT成像的直接应用,使“亲骨”种植技术大大的提高了,并象征着口腔种植领域的发展,迈出了革命性的一步。点击在线咨询,了解种植牙的优惠活动!在线预约可享更多优惠!推荐阅读:亲骨超导种植技术
中韩·唯美口腔牙齿种植专家推荐

徐雅轩,国内著名CAM/CAD修复专家,精湛技术:牙齿矫正、牙齿美容修复、1小时德国西诺德CAD/CAM3D齿雕全瓷修复。毕业于南京医科大学口腔专业,长期从事口腔种植临床工作,在部队三甲医院工作多年,拥有多年深厚的口腔种植与研究经验。曾应邀参加瑞士ITI种植培训、德国西诺德3D齿雕培训,并出任多国种植集团特邀医师。其娴熟的种植技术和丰富的临床经验有机结合,注重从顾客的角度为出发点制定治疗方案,行医严谨,待人真诚,让广大缺牙顾客重新拥有完美的牙齿,深得顾客好评。
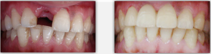
中韩·唯美口腔牙齿种植前后对比图

如果您觉得我们的文章没有解释的很清楚,或者还有其他疑问,您可以直接点击中韩·唯美口腔的在线咨询医生,我院专业咨询医生会给您耐心的,详细的解答,并给您一个满意的答复!
上一篇:郑州哪个医院种植牙好
下一篇:怎么选择种植牙
唯美口腔连锁·汇聚实力专家
唯美口腔连锁·品牌资讯