前牙种植患者资料:本组患者64例,男52例,女12例,年龄18~55岁,上颌前牙56颗,下颌前牙9颗,50颗是外伤骨折,15颗是残根残冠。

手术操作:拍X线片、测量牙槽骨厚度、高度及宽度,查血常规,术前口服抗生素。用2%利多卡因注射液加盐酸肾上腺素针局部浸润麻醉,麻药显效后切开,微创拔除患牙,彻底清除肉芽组织和其他碎片,用3%双氧水及生理盐水反复冲洗牙槽窝,检查牙槽窝骨壁有无穿孔,常规方法植入种植体,而后填入骨粉和植骨材料,减张、严密缝合伤口,术后常规口服抗生素5天,复方氯己定漱口液漱口,定期复查。
术后结果
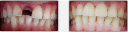
术后每天复诊1次,2周左右拆除缝线。待种植体完成骨结合6个月以后,在种植上方进行义齿修复。牙冠修复后,1、3、6、12个月各复查1次,种植体愈合良好,稳定无松动、软组织无炎症,X片显示种植体周围无明显骨吸收。65例中,2例种植体出现滑脱,1例出现感染,患者拒绝二次种植, 96.8%。
适应症:全身无系统性疾病,局部无明显炎症,邻牙健康,口腔卫生及咬合关系良好,有良好的骨量和骨质,无夜晚磨牙症,无骨质疏松
禁忌症:患牙根尖有感染、牙周软硬组织急性炎症期,牙周骨质重度缺损,全身情况及口腔卫生状况较差。
上一篇:没有了
下一篇:郑州唯美后种植牙牙齿种植成功案例
唯美口腔连锁·汇聚实力专家
唯美口腔连锁·品牌资讯