牙齿的松动造成的生活不便,给患者朋友所带来的痛苦,往往在看到别人幸福的笑容,对着坚硬的食物想吃就吃的那一刻被扩大化。那么想要早日告别牙齿的松动,不在整天为牙齿可能脱落的问题而烦忧,该选择哪家医院?郑州什么医院治疗牙齿松动好呢?
牙齿松动中更多的还是由于牙周病而引起的。 牙周病也是临床更常见的口腔疾病,主要症状是牙龈出血、红肿、化脓、疼痛、不敢咀嚼、牙齿松动脱落等。
在郑州的朋友肯定会问,郑州什么医院治疗牙周炎好?
专家介绍:对于口腔医院的选择,主要从以下几个方面去考虑。想了解牙齿松动具体的治疗方法,点击在线咨询,在线医生给你一个满意的答复!
一、看医院规模:选择专业正规的口腔医院,还要看医院的规模,一个专科口腔医院的规模大小,一方面代表了医院的实力,另一方面也能窥测出医院的来诊量及诚信经营理念。消费者选择这类医院,牙齿种植的保障性会大大提高。中韩·唯美口腔五星级服务环境,规模宏大、实力雄厚。采用“全生态、人性化”的环境设计,设有全国“一人一诊”诊疗环境、VIP特诊室,更多尊重,更多舒适。推荐阅读:如何治疗牙齿松动
二、看材料设备:材料是影响口腔诊疗的又一个重要因素,好的材料不仅能让牙齿美观舒适,而且能让效果长久有效。劣质的材料不仅影响牙齿美容的整体效果,其含有的有毒元素也给口腔健康带来很大隐患。消费者在选用材料时,还需辨别材料的真伪,仔细查看防伪标签,谨防个别厂家以次充好、以假乱真。中韩·唯美口腔拥有国内更完备的世界齿科先进设备,中韩唯美先后斥巨资引进韩国亲骨种植、韩式四维矫正、美国3M透明陶瓷正畸系统、美国360°彩光美白仪、法国赛特力巡航洁牙机、德国卡瓦喷砂洁牙机、韩国数字化全景机、法国 DHT无痛麻醉系统、德国Laser激光治疗仪等数十套当前世界先进的诊疗设备,让广大爱牙人士们不出国门就能享有全球先进的口腔医疗服务。
三、看医生资质:我们不仅要了解医生的专业背景,还要关注他们的行医经验。一般医生的黄金行医年纪是在35岁——60岁。有的医院的坐诊医生非常年轻,说明接触临床较少,缺乏实践经验。中韩·唯美口腔由多名国内外齿科专家组成的诊疗团队,专家理论及临床实践经验丰富,不仅对各种口腔疾病做出正确诊断和有效治疗,更能熟练进行牙齿美容修复、牙齿正畸、牙缺种植及口腔保健。
四、看消毒流程:在口腔诊疗过程中,消费者极容易因为消毒不彻底而造成口腔细菌感染,造成更严重的问题。所以务必重视口腔医院有无正规的消毒器械和消毒流程。中韩·唯美口腔医院严格遵行“一医、一助、一室、一机、一盘、一针、一灭菌”等“七个一”专业规范诊疗服务,真正实现无痛、无交叉感染、无远期障碍的“三无”理念。
中韩·唯美口腔医院由一流牙科医师团队和专业投资机构共同创办,是致力于在华提供安全、无痛、高私密化的高档专业齿科。唯美口腔医院的管理严格遵循美国齿科协会ADA的标准,实行的是标准的四手操作医疗体系,由医生与助手共同完成治疗工作;所有器械均经过严格的消毒,主要材料均为进口优质材料,使用的设备均为上先进的设备,完全杜绝交叉感染,进而保证了治疗的质量,确保了治疗的安全和患者的舒适性,是一家绿色环保、安全放心的牙科诊所。
中韩·唯美口腔牙齿种植专家推荐

郑淳奎毕业于韩国首尔大学牙医学院,1995年赴瑞典皇家学院口腔医学院、美国华盛顿大学口腔医学院求学,先后获得了口腔颌面外科硕士、牙周病学硕士、口腔修复医学博士等学位。回国后将韩国整形医学与德国CEREC 3D数字齿雕系统结合,革新了口腔美容设计的传统治疗方法,获韩国齿周科学会新人学术奖及保健福利部长官奖。2000年又赴德国深造普士即刻种植牙技术,并成为位为德国人实施种植手术的亚洲专家。对各种种植修复技术有很深的造诣,先后在日本齿周科学会、日本齿科学会发表论文,获大韩齿周科学会新人学术奖,获韩国保健福利部长官奖,在韩国牙科界享有很高的美誉。
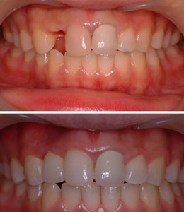
中韩·唯美口腔种植牙案例
还你坚固牙齿,打造健康生活。中韩·唯美口腔致力于现代牙科诊疗及时尚牙齿美容,是郑州市更大的一家中韩合作牙齿美白机构。倡导:病人至上、精益求精、恪守诚信、敬人敬业,真诚贴心的服务。为了让更多的人享受到高质量的口腔治疗服务,高起点、高标准,为倾力打造中国一流的专业牙科而不懈努力。
上一篇:如何治疗牙齿松动
下一篇:老年人牙齿松动如何是好
唯美口腔连锁·汇聚实力专家
唯美口腔连锁·品牌资讯