拥有洁白闪亮的牙齿已经成为衡量美女的标准之一。知道你的牙为什么不够白吗?牙齿美白是很重要的,每个人都想拥有洁白的牙齿,可是日常生活中有很多人的牙齿不够洁白,这就影响了一个人的形象,尤其是重度四环素牙,给人到来很大的危害,阻碍人的笑容,让人不敢放怀的大笑!
【案例回放】
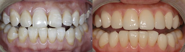
姓名:吴小姐
年龄:27
籍贯:郑州
职业:广告策划
缺陷:中度四环素牙
项目:牙齿美白

吴小姐,27岁,患有中度的四环素牙。吴小姐身为广告策划对美有一种天生的敏感触觉,大家都说策划广告是一项制造美的工程,作为一个策划的吴小姐自然对自己的衣着以及外貌有着一种对美的执着,高薪一族的她在装扮上是无可挑剔的,但一口暗黄的四环素牙却让她伤透了心,怎样才能把一口四环素牙给治好呢?
已经是网游老手的她很快的就从多如牛毛的广告信息里筛选出中韩·唯美口腔引进的外国先进的360°彩光美白技术。美白牙后的吴小姐满面笑容,自信满满的说现在的她可以代言牙膏的广告了,模特策划一手包揽。
专家介绍,四环素牙从化学性上来说对人体是没有什么危害的,不过四环素牙会让人们的牙齿着色,从而影响牙齿的美观给广大爱美者带来很大的心理压力,让爱美者在工作中受到重重阻碍,所以说从美观上来说危害还是挺大的。更多牙齿美白案例,请点击在线咨询!
【技术推荐】
中韩·唯美口腔360°彩光美白技术是一项正流行于欧美的更新兴的牙齿美白技术,它将高强度彩光定点照射,它不仅可以去除牙齿表面的色素沉积,及深层所附着的色素,美白效果持久有效,仅需短短的30分钟,即可让您拥有一口润白亮泽的牙齿。具有持久、自然、快速、专业、安全等五大优势。推荐阅读:彩光美白价格是多少
360度彩光美白适合人群
一般外因性色素牙(咖啡、茶渍、烟渍沉积、槟榔染色)、中轻度四环素牙、氟斑牙、药物性变色牙、遗传性黄牙等外源性和内源性牙齿颜色难看问题。你的牙齿变色情况适合彩光美白吗?请点击在线咨询与专家进行交流,了解自己牙齿美白的详细情况!
选择360°彩光美白三大理由:
1、效果明显-更可靠
360°彩光美白技术是采用先进的彩光(蓝光)照射技术,它将高强度彩光定点照射,去除牙齿表面及深层所附着的色素,使牙齿回到未经染色前的洁白。
2、安全美白-更安全
360°彩光美白采用物理还原原理,对于口腔组织非常安全,操作过程不接触牙龈,所以完全避免了操作过程中对牙神经的损害,同时对牙齿结构不会造成任何损害。
3、即刻美白 仅需30分钟
一次治疗可以使全口16-20颗牙齿提高5-14个VITA色阶,平均提升8个VITA色阶以上,并使治疗后的牙齿具有自然的光泽!美白效果可持续5年以上。更多关于彩光美白的详细信息,请点击在线咨询与专家进行交流!
如果您觉得我们的文章没有解释的很清楚,或者还有其他疑问,您可以直接点击中韩·唯美口腔的在线咨询医生,我院专业咨询医生会给您耐心的,详细的解答,并给您一个满意的答复!
上一篇:郑州唯美美容冠案例
下一篇:郑州唯美3D瓷雕案例
唯美口腔连锁·汇聚实力专家
唯美口腔连锁·品牌资讯