姓名:乐乐
年龄:12
职业:学生
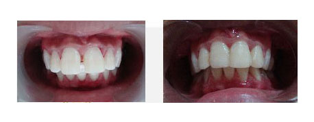
缺陷:牙齿稀疏
项目:儿童牙齿矫正

我叫乐乐,今年上小学五年级。因为在换牙齿的时候,喜欢吃硬东西。结果门牙跟门牙之间有根缝。因此同学们也给我取了个绰号叫“西班牙”。我一点也不喜欢他们这样叫我,总觉得是在嘲笑我。使我变得讨厌上学,也不喜欢和同学们一起玩。
后来,妈妈发现我总是这么沉默寡言,就跟我多交流,她这时候才知道了我厌学的原因。暑假,妈妈就带我来了郑州唯美口腔口腔医院,让那里的医生给我做牙齿矫正。我不知道是怎么回事,医生叫我怎么做我就怎么做。妈妈是这样对我说的。
两个月后我逐渐发现,我的门牙那根缝在变小。虽然有点疼但我还是忍耐着。经过三个月的治疗过后,我的牙齿的缝隙就完全没有了,也不用带矫正套了。我重新回到了学校,同学们也不叫我那个外号了。真的很感谢郑州唯美口腔医院的牙齿矫正医生,让我没了缝隙,让我感受到和小伙伴们一起玩原来这么开心。
上一篇:没有了
下一篇:郑州唯美成人牙齿矫正案例
唯美口腔连锁·汇聚实力专家
唯美口腔连锁·品牌资讯