蛀牙是怎么形成的,蛀牙,学名叫“龋齿”,也经常被叫做“虫牙”,是一种通过破坏牙齿,会引起严重疼痛,并可能影响全身健康的疾病。龋齿发病率高,是牙齿健康的头号大敌。那么蛀牙是怎么形成的?

郑州更好的口腔医院郑州唯美口腔医院专家介绍说,蛀牙形成原因是牙菌斑。牙菌斑是牙齿表面的一层几乎无色的薄膜,含有造成龋齿的细菌。每次进食后,牙菌斑中的这些细菌会和食物中的糖分或淀粉发生化学作用,产生腐蚀牙齿的酸性物质。久而久之,牙齿的珐琅质便会破坏,形成比较脆弱的小蛀斑,若继续恶化则会形成牙洞,即蛀牙。所以,蛀牙是从小蛀斑发展而来的,不是真的有蛀虫或什么其他虫子,而是牙齿被逐渐腐蚀的结果。蛀牙在严重情况下,会导致牙齿的坏死和脱落。
在龋齿形成过程中,饮食是细菌滋生的重要作用中介。由于多数食物中含有大量的碳水化合物和糖,这些物质成为供给菌斑中细菌生存和繁殖的能量,同时通过细菌的代谢作用使口腔中的糖酵解,产生大量有机酸,这种有机酸如果长期滞留在牙齿表面和窝沟中,致使釉质脱矿遭到破坏,失去釉质保护的牙表面,被某些细菌促使蛋白质溶解,进而形成龋洞。可致龋的糖类很多,研究发现更主要的威胁来自蔗糖。推荐阅读:缺牙补牙多少钱?
甜食中含有大量的糖和淀粉,例如糖果、巧克力、饼干和糕点等。尤其是粘性大的甜食易粘附在牙面上,为牙菌斑中的致龋菌提供了充足的养分,经代谢后产生的有机酸致龋性很强。
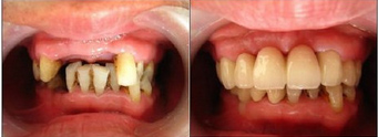
解决各种牙齿问题,轻而易举
郑州唯美口腔医院或许你还在为自己的牙齿而烦恼,牙齿不够白,不够整齐,不够美观。现在,你不必再烦恼了,美丽牙齿的脱变,就在唯美口腔。
蛀牙是怎么形成的,如果您对以上的内容,还有任何不明白的地方,欢迎点击在线咨询,与专家进行一对一交流,同时网上咨询预约,还可享免挂号费,无需排队优先就诊服务。
唯美口腔连锁·汇聚实力专家
唯美口腔连锁·品牌资讯