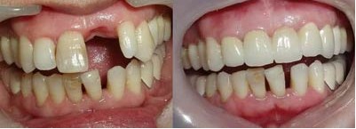
老年人镶哪种假牙比较好,“缺牙多、松牙多、牙根多”是目前中老年群体中普遍存在的问题,那么,牙齿修复刻不容缓。镶牙,又称口腔修复,主要是针对牙齿缺损、牙齿缺失后的治疗工作。那么老年人镶牙选择哪种材料好呢?

郑州唯美口腔主任表示,虽然老年人牙齿松动脱落是正常现象,但是却会给日常生活带来很多麻烦。首先,牙齿缺失会影响面部的和谐美观;其次,部分老年人是多颗牙齿缺失,会出现说话漏风,发音不准,影响正常的沟通和交流;更后,牙齿缺失会导致咀嚼功能下降,造成消化功能紊乱,正常身体所需的营养物质难以摄取,影响老年人的身体健康。
老年人镶牙什么材料好呢?老人镶牙选择的材料有两种,一种是烤瓷牙还有一种是全瓷牙。
由于金属补牙材料对人体有刺激,老年人有的时候要做身体检查,做金属烤瓷牙会影响检查效果,所以建议老年人做没有金属物质的全瓷牙,这样就不会对老年人的身体产生影响了,也不会有牙齿黑线影响美观的现象了。
全瓷牙由于没有金属基底冠的存在,有效避免了金属过敏和黑线等问题的出现,对人体健康无任何毒副作用。 全瓷牙透明度好,光泽度较佳,形态颜色更加自然逼真。全瓷牙无不良金属离子的渗出,不影响健康。并且具有和金属相媲美的抗压强度,完全不必担心会崩瓷现象。
郑州唯美口腔医院镶牙,方式多样,价格选择多。不伤牙齿,自然逼真,没有痛苦,稳固牢靠,不伤邻牙。欢迎前来就诊。
如果你还有什么不了解,请登录郑州唯美口腔官网进行咨询。
上一篇:老年人镶哪种假牙比较好
下一篇:蛀牙要不要拔掉
唯美口腔连锁·汇聚实力专家
唯美口腔连锁·品牌资讯