镶牙补牙

镶一颗假牙需要多少钱

来源:郑州唯美口腔
赞: | 好评: | 阅读:
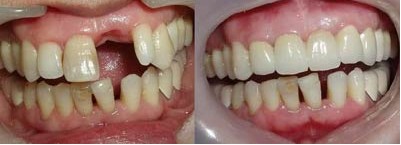
  镶一颗假牙需要多少钱,对于老年人而言,牙齿缺失对日常的生活和饮食会造成很大的影响,因此,多数老年人都会选择镶假牙。装上假牙可以让我们饮食变得方便,可以让受影响的容貌得到改善,除了对假牙的效果很关心之外,镶一颗假牙需要多少钱也成为大家关注的重点。那么,镶一颗假牙需要多少钱?通过以下我们来进行详细的了解。
 
  郑州镶牙多少钱郑州唯美口腔专家介绍,一颗假牙的价格按照医院的设备技术、医生的技术以及选择的假牙的材质等,是有很大的波动的,从几百到几千再到几万,都是有可能的,具体的价格主要看一下几种因素的影响:
镶一颗假牙需要多少钱
 
  1、假牙的材质:假牙的材质是决定假牙价格的更重要的因素,固定假牙、活动假牙以及种植牙是进行牙齿修复的重要的假牙技术,不同的技术自然价格是不一样的。
 
  2、医师的技术:非正规口腔医院里面的医师与正规医院里面的医师的技术肯定不迥然不同的,医师在进行假牙修复的时候,会因为临床经验与专业素养等对假牙的寿命造成一定的不理影响,所以选择的时候一定还是要选择专业的医师进行假牙镶装。为了假牙的长期性,正确的付出是值得的。
 
  3、医院的等级和设备:正规医院因为有很多后期的保障,并且是以患者的角度仁心仁术,这样的医院开销和花费自然会比小诊所高出许多,但是为了患者自身的健康着想,还是建议到正规医院进行保障性治疗。
 
  郑州唯美口腔专家提醒:医院的等级和设备:正规医院因为有很多后期的保障,并且是以患者的角度仁心仁术,这样的医院开销和花费自然会比小诊所高出许多,但是为了患者自身的健康着想,还是建议到正规医院进行保障性治疗。推荐阅读:镶牙要多长时间
 
  镶一颗假牙需要多少钱?通过以上的介绍,想必大家也有了一定的了解。郑州口腔医院郑州唯美口腔是一家具有标准的数字化智能齿科机构以知名的专业化诊疗团队和雄厚的技术支撑以及人性化的服务,打造郑州更大的牙齿美容口腔基地。如果以上信息无法针对您的具体情况,或者您对假牙还有疑问,可在线咨询我们的口腔专家。
 
温馨提示:口腔健康问题,不要查看不专业的网站,不要问不专业的医生。

上一篇:蛀牙补一颗牙多少钱

下一篇:郑州哪家口腔医院好

唯美口腔连锁·汇聚实力专家
唯美口腔连锁·品牌资讯
  • 一城七院
  • 高端设备
  • 荣誉资质
  • 机构环境