牙齿缺失装假牙好不好,在日常生活中,难免会出现一些小意外,如果不好好保护牙齿也会出现牙齿缺失的情况。往往在牙齿缺失的时候,才会觉得应该珍惜保护牙齿。当出现牙齿缺失一定要及时的修复,否则时间久了,会造成其他牙齿松动,个人形象不美观等影响。那么,牙齿缺失装假牙好不好?通过以下我们来进行详细的了解。
郑州唯美口腔专家介绍,现在医学上镶牙的方法就是固定义齿、活动义齿跟种植牙。相比较而言,种植牙受欢迎的程度更高,种植牙是近几年流行的装假牙的方法,种植牙由于人造牙深植牙骨内,可承受正常的咀嚼力量,功能和好看上几乎和人牙一样,因此,被人们称为人类的第三副牙齿。

针对牙齿缺失三种修复方法进行简单的介绍:
1、固定假牙:固定假牙无需患者自行摘戴,而且固定桥体积小,不超出牙列范围,不影响发音,舒适方便,固定桥所接受的咀嚼压力的传导方式,与真牙类似,有时候根本感觉不到口腔里戴有假牙,咀嚼功能也比较好,现在应用的烤瓷冠桥看上去完全和天然牙一样,也比较美观,可以说是一种更理想的修复方法。凡事都有个两面性,这种修复方法更大的弊端是要切割较多的牙体组织。比方说缺了一颗牙齿,需要将一边或两边的真牙切割成一定的形状才能进行烤瓷。此外,由于烤瓷冠桥是粘固在真牙上的,不能自行摘戴,所以口腔清洁较差,口腔容易产生异味。
2、活动假牙:活动假牙是利用剩余天然牙或粘膜作为支持,通过卡环固定在剩余天然牙上,同时,利用基托使义齿保持适当的位置行使咀嚼功能,可以自行摘戴的一种修复体。它的优点就是适应范围较广,对余留牙的牙体组织磨除或损伤较小,有利于口腔清洁卫生,价格比较低廉。其缺点是基托体积较大,异物感较重,有时会影响发音,有金属卡环外露,影响美观,初戴时还会感觉不舒服,咀嚼功能也较差。
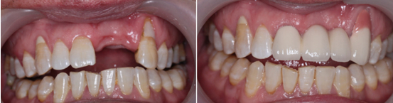
3、种植牙:人工种植牙也称种植义齿,是近几年来迅速发展起来的一种新型的口腔修复技术。人工种植牙是当代口腔领域的一场革命,是一项突破性的进步,将成为21世纪修复缺失牙的主流技术。它是将一个纯钛金属制成的人工牙根形状的仿生种植体,通过手术将其植入到颌骨内(牙床里),当种植体与颌骨完全骨性结合后,将种植体的上部结构(基台桩)通过螺丝与颌骨内种植体联接在一起,然后就可以在其上修复一个烤瓷牙冠或牙桥,来恢复缺失牙的形态和功能,制作完成的修复体称作为“种植义齿”,它既有固定义齿的优点,美观实用。推荐阅读:郑州镶牙哪家医院效果好
牙齿缺失,选择种植牙是更理想的了。其实,种植牙也是目前国内外牙医都推荐的牙齿修复方式。种植牙是与真牙更贴近的一种装假牙的方式。郑州唯美口腔修复医院专家介绍,只要有良好的骨结合,就可以长期使用,大部分可以期待使用20-30年,维护得当,可以使终身使用。
牙齿缺失装假牙好不好?通过以上的介绍,想必大家对牙齿缺失修复的方法有了一定的了解。郑州口腔医院郑州唯美口腔专家介绍,牙齿缺失一定要重视起来,并选择正规的口腔医院,然后根据自身的牙齿情况,选择适合的的修复方法,从而早日恢复健康牙齿。如果对牙齿缺失还有不明白的地方,可在线咨询我们的专家,将为您进行详细的介绍。
上一篇:补牙后的牙齿会很脆弱么
下一篇:在哪镶牙比较好
唯美口腔连锁·汇聚实力专家
唯美口腔连锁·品牌资讯