郑州镶牙到哪家医院好,在日常生活中,不少人会遇到牙齿缺失、牙齿缺损、牙洞等情况,这些对我们口腔的健康都会造成一定的影响,同时也会影响个人的形象。此时就需要引起重视,及时就想镶补。目前镶牙的医院有很多,郑州镶牙到哪家医院呢?郑州唯美口腔专家提醒:镶牙一定要选择正规的口腔医院很重要,不要因小失大。
郑州唯美口腔的专家介绍,镶牙主要是针对牙齿缺失的人群,是一种常用的修复牙齿的方法,镶牙的方法有哪几种呢,下面让我们来了解一下。
一、活动假牙
活动假牙是可以摘戴的牙齿,是通过卡环固定在周围健康的牙齿上的,能够适当的使用咀嚼功能。

二、烤瓷牙
烤瓷牙是常见的牙齿修复方法,对于牙齿修复的效果比较好,色泽天然,坚固易于咀嚼,很受人们的欢迎。
三、种植牙
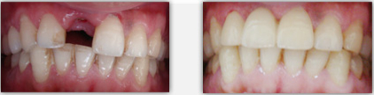
种植牙适用范围广,既可为固定假牙,也可为活动假牙,是一项比较先进的技术。它是在缺失牙齿处重新种植一颗牙齿,对周围牙齿不会有任何影响。
镶牙的方式有很多种,其中种植牙是不错的选择,通常是需要将纯钛的种植体直接植入到牙槽骨内,然后等到牙槽骨与种植体愈合之后,然后在镶上牙冠就可以了。种植牙的优势有很多,但想要保障种植牙的效果,选择什么样的医院及医师是很关键的,由于种植牙对医师技术水平,医疗设备以及手术环境要求都是非常高的,所以做种植牙一定要选正规的口腔医院进行。
郑州唯美口腔坚持三大服务:
、高端的医疗设备
郑州唯美口腔拥有先进的医疗设备,瑞士ITI种植系统、曲面断层全景机、BEYOND冷光美白仪器等等,给予你更好的治疗。
第二、优秀的专业团队
郑州唯美口腔实力雄厚,信誉好,技术佳。医院现拥有临床经验丰富的牙科专家组成的高水准专家团队。坚持不懈地以当前更前沿的口腔诊疗理念和技术为指导,力求功能与美学的完美融合,提供更高水平更具性价比的口腔诊疗服务。推荐阅读:镶牙一颗需要多少钱
第三、良好的服务态度
郑州唯美口腔为确保患者的隐私和防止交叉感染提供了安全和宽松的就诊氛围。实现一人一包——每位患者都使用口腔器械包;施行一医一患一诊室的“三一政策”,严格科学的消毒体系真正实现了为患者提供安全无痛、无交叉感染的放心诊疗服务。
郑州镶牙到哪家医院好?通过以上的介绍,想必大家也有所了解了。郑州更好的牙科医院郑州唯美口腔专家提醒:镶牙一定要选择正规的牙科医院,这样可确保镶牙的有效性。如果您还有疑问,欢迎您点击在线咨询,我们口腔专家会根据您个人口腔情况进行详细解答!
上一篇:补牙的时候为什么要拍片
下一篇:镶牙不及时会有哪些危害
唯美口腔连锁·汇聚实力专家
唯美口腔连锁·品牌资讯