老年人镶牙应该注意什么问题,随着年纪的增加,牙齿就会出现缺失的情况,牙齿一旦缺失不仅会对周围健康牙齿造成危害,对后期的修复效果也有一定的影响。但有的老人却认为缺失一两颗牙不会影响正常的生活,因此就不去医院镶补,这样是非常不好的,要引起重视,那么,老年人镶牙应该注意什么问题?为此,我们来进行详细的了解。
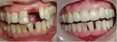
郑州唯美口腔专家介绍,在老年人中,牙齿缺失是非常常见的,据调查统计,77%以上的老人有缺牙,而且平均每人缺8到10颗。很多老人认为掉一两颗牙对日常生活没有大的影响,不用镶牙,其实这种观点是错误的。老年人牙齿缺失,不能拖延,长期如此,会加大胃肠的消化和吸收的负担,而缺牙数目较多的老年人说话时发音吐字不清,从而影响了老年人的交流和身心健康。及时镶牙补牙是关键。
为了确保老年人镶牙补牙的有效性,在修复前需要做好准备工作首先要清洗牙齿,去掉不良假牙,治疗龋齿和松动牙等,当然,个别条件好的可以直接进行牙齿修复而不需要准备,但是也有一部分人需要特殊准备,这就需要医生的诊断结果看情况是否需要,如果需要则进行牙软组织手术、牙槽骨手术等。

目前牙齿修复主要有三种类型:
1、固定修复:有两种形式;一种是牙套,如果牙冠有缺损或是折断了,就可用牙套来修复。另一种叫固定桥,若牙齿拔掉了,也可用固定桥(死牙)来修复。固定桥是在真牙上套牙套,牙套再与所要镶复的假牙连为一体,以此来恢复缺失牙的解剖形态和生理功能。
2、活动修复:患者可自行取戴,其咀嚼压力并不完全由基牙承担,而是由缺牙区的粘膜、牙槽骨来共同承担。对真牙的要求不象固定假牙那样严格。它的优点是磨除真牙组织少,设计灵活多样,便于清洁和修理。但活动假牙体积大,初戴时可能有异物感,需要经过一个适应过程。推荐阅读:镶活动假牙需要多少钱
3、种植修复:将人工材料制成种植体,经手术植入缺牙区颅骨内,在穿过牙槽崎粘膜的种植钉上制作各类修复体。该技术对修复体的设计、制作均有较高的要求。
需要注意的是:若老人的遗留牙条件不好,需要进行拔除的,而要在拔牙三个月后才能进行牙齿修复。但是并不是所有的老人都可以直接进行拔牙,像患有心脏病、高血压、严重糖尿病、出血性疾病的老人就需要慎重,因为这些疾病被称作拔牙禁忌症,在拔牙的时候如果不注意会出现比较严重的后果。因此,患有这些疾病的老人在拔牙之前必须将自己的病史对医生讲清楚,以便采取一定的防护措施。
老年人镶牙应该注意什么问题?通过以上的介绍,想必大家也有所了解了。老年人在镶牙补牙时,一定要选择正规的口腔医院,这样才能确保镶牙补牙的效果。郑州唯美口腔坚持“以人为本、以诚取信、以精求进”的服务宗旨,奉行“诚信、优质、温馨、便捷”的服务理念,为确保患者的隐私和防止交叉感染提供了安全和宽松的就诊氛围。如还有其他疑问,可在线咨询我们的专家。
上一篇:牙有个窟窿怎么补牙
下一篇:补牙后多久可以吃东西呢
唯美口腔连锁·汇聚实力专家
唯美口腔连锁·品牌资讯