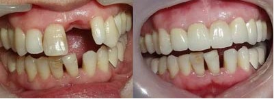
门牙缺失镶什么牙好,一旦门牙缺失,让人非常苦恼,不但影响自身的美观,而且还不敢开口说话,不敢开口大笑。因此,发现门牙缺失一定要及时到医院进行详细的检查,及时采取修复。目前很多人都非常重视牙齿健康问题,出现缺失就及时采取有效的方法进行解决,那么,门牙缺失镶什么牙好?为此,我们来进行详细的了解。
郑州唯美口腔的专家介绍,门牙缺失更好的镶牙方法就是种植牙技术,种植牙就是技术抛弃传统镶牙中的钩和套,也不用牙托,更不用磨损两侧健康好牙,在拔除患牙后即刻植入人工牙根,被誉为继乳牙和恒牙之后“人类的第三副真牙”。

种植牙技术的优点
1、没有痛苦:种植牙的手术很小,一般种植体植入术只需要几十分钟到数小时就可以完成,无需住院,手术过程完全无痛,术后即可进食。
2、清洁方便:因为种植牙是仿自然牙,所以清洁种植牙非常方便,不用摘牙。它与临牙间保存有自然间隙,可以用牙线直接进行清洁。
3、感觉自然:种植后,牙齿宛若新生,跟天然牙一样,并对人体不会产生任何的副作用。
4、不伤邻牙:它不影响健康邻牙,其靠自身牙根独立存在,且无需磨两侧健康牙,也不会造成假牙同健康牙接触面食物嵌塞而使健康牙造成新的龋坏。
5、稳固牢靠:种植牙全固定式种植体固位好,比传统假牙戴的稳固、牢靠。种植牙的失败率低于人类自身牙齿的失牙率,咀嚼效率较传统假牙有大幅度。
6、舒适美观:种植牙没有传统镶牙方法中的钩或套。
唯美口腔种植牙技术推荐——即刻种植牙技术
郑州唯美口腔引进的即刻种植技术一经推出,即受到广大中老年患者的青睐追捧。有别于以往传统种植牙的弊端,微创即刻种植牙更具临床优势,成活率高,其核心大致可总结为“快、准、精、微’四个字。”推荐阅读:老年人镶牙补牙需要注意什么
门牙缺失镶什么牙好?通过以上的介绍,想必大家也有所了解了。种植牙对技术的要求是非常高的,因此种植牙时,一定要选择专业的牙科医院,郑州牙科医院郑州唯美口腔是您种植牙更佳的选择,可确保牙齿种植的效果。您如果需要了解更多相关内容,不妨花几分钟在线咨询直接与我院口腔专家对话,让我院专家针对您的个人情况为您作答。
上一篇:老年人带活动假牙有什么好处
下一篇:儿童补一颗牙洞多少钱
唯美口腔连锁·汇聚实力专家
唯美口腔连锁·品牌资讯