关于假牙你了解多少?时间的推移总是会给我们留下印记,牙齿的缺失是更为明显的铭记。很多朋友都知道牙齿缺失之后,通过假牙修复便可恢复我们的牙齿功能,避免牙齿缺失所给我们带来的麻烦,捍卫口腔的健康.那么对于假牙的相关知识你有了解多少呢?
假牙的材料
1、金属类,其中又包括普通金属、半贵金属,及高贵金属等等。
金属材料有纯金及合金。合金如钴铬合金、镍铬合金、铜合金等。金属材料主要用以制作假牙的卡环、支托、联接体等支架,以及各种金属牙冠、垫。
2、非金属类非金属材料主要是塑胶及瓷,如甲基丙烯酸甲酯,它又分为加热固化型的热凝塑胶和室温固化型的自凝塑料两种。常用非金属材料有复合树脂以及陶瓷等。塑胶及复合树脂可广泛应用于制作假牙的牙冠、基托(俗称牙托),也可作为修改假牙的材料。而瓷则主要用于制作牙冠。
非金属与金属牙的差别,除了瓷牙使用的铸造用金属合金优於金属牙,另外瓷牙是在金属外层烧上瓷粉,让它呈现出与牙齿相同的颜色。如果门牙做金属牙套,当你微笑的时候,门牙金光闪闪,在美观上会大打折扣,所以门牙、犬齿及小臼齿制作瓷牙的接受度很高,而在后牙制作的瓷牙对咬合压力也有一定的承受力,所以瓷牙可是更常使用的固定假牙。瓷牙内层的金属是影响固定假牙价格更重要的因素,价格的差距可至二至三倍之多。当然,瓷牙与金属牙的选择,也必须考量到本身牙齿的咬合状况,如果自己特别喜欢吃硬的食物使牙齿磨耗大、或有磨牙习惯或牙齿长度过短等等问题,选择金属牙是比较耐久的,如果使用瓷牙断裂的机会比较高。哪种材料适合你呢?点击在线咨询,与专家一对一的交流了解详情!
假牙的种类
A.假牙--活动假牙
1、隐形义齿:适合缺1个或者2个牙齿的患者,一般作为临时修复体。
2、精密附着体:适合更里侧齿缺失的患者口腔,并且剩余牙齿的数量一定要大于等于缺失牙的数量。
B.假牙--烤瓷牙
适用于任何牙齿缺失,缺损患者
1、金属烤瓷牙:坚固耐磨,永不会被腐蚀;不用取摘,容易清洁;边缘密合性好,制作精良、材料上乘的烤瓷牙,患者可终身受用。
2、全瓷牙:无金属内冠,密度和强度更高,与钻石相媲美,有着独一无二的抗破裂性;通透性更佳,和真牙色更接近,对美观要求较高的患者是一种福音。
C.假牙--种植牙(更好的缺牙修复方式)
适用于任何牙齿缺失者
通过医学手术的方式制造成类似牙根的圆柱体、锥体或叶状体等植入缺牙位置的牙槽骨内,再在人工牙钉上制作烤瓷冠。由于是根植在牙槽骨内,因而可以承受类似真牙的正常的咀嚼力量,功能和美观上都几乎和自然牙一样,因此被人们称为人类除乳牙、恒牙以外的第三副牙齿。种植牙方式也有很多种体系,哪种种植牙体系适合你呢?点击在线咨询直接与专家对话了解详情!
中韩·唯美口腔专家告诉我们,理想的假牙修复材料应是对口腔黏膜无毒性,无刺激性,无致癌性,对假牙覆盖的组织不导致过敏反应,不溶于唾液,不因口腔环境而腐蚀、变性、耐生物老化,在口腔温度改变中性能稳定,在制作过程中对操作人员无害。此外,还应力求美观、耐用,重量轻,易轻加工,操作简便、取材容易、价格低廉等。推荐阅读:亲骨超导种植技术
中韩·唯美口腔从欧美独家引进的CT“亲骨”种植技术是采用Implagraphy进行3D口腔CT成像,根据自身牙体骨骼或以自身骨组织系数来定制骨粉,比起传统的人造骨粉,更加精确无误,而且生物相容性更好、更稳定牢固、愈合更迅速。由于3D口腔CT成像的直接应用,使CT“亲骨”种植技术大大的提高了,并象征着口腔种植领域的发展,迈出了革命性的一步。CT“亲骨”种植技术,运用的是先进专利的微创种植技术,提取牙齿缺失患者自身的牙体骨骼来定制人造骨粉,骨粉在血液循环的作用下与牙槽骨迅速、牢固地结合,保持了极高的生物活性,以达到极佳的口腔相容性。并且CT“亲骨”种植技术所采用的种植体,在微螺纹表面是经过特殊处理的,能更大限度增加与颌骨接触面积,使种植体在良好的成骨组织上稳固生长,真正实现真牙般的咀嚼感受。点击在线咨询,直接与专家对话,了解种植牙的优惠信息!
中韩·唯美口腔牙齿种植专家推荐

徐雅轩,国内著名CAM/CAD修复专家,精湛技术:牙齿矫正、牙齿美容修复、1小时德国西诺德CAD/CAM3D齿雕全瓷修复。毕业于南京医科大学口腔专业,长期从事口腔种植临床工作,在部队三甲医院工作多年,拥有多年深厚的口腔种植与研究经验。曾应邀参加瑞士ITI种植培训、德国西诺德3D齿雕培训,并出任多国种植集团特邀医师。其娴熟的种植技术和丰富的临床经验有机结合,注重从顾客的角度为出发点制定治疗方案,行医严谨,待人真诚,让广大缺牙顾客重新拥有完美的牙齿,深得顾客好评。
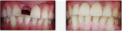
中韩·唯美口腔牙齿种植前后对比图

如果您觉得我们的文章没有解释的很清楚,或者还有其他疑问,您可以直接点击我们的在线咨询医生,中韩·唯美口腔专业咨询医生会给您耐心的,详细的解答,并给您一个满意的答复!
唯美口腔连锁·汇聚实力专家
唯美口腔连锁·品牌资讯