镶牙多少钱?牙齿缺损了,不敢开心大笑,个人形象也受到损伤。镶牙可以解决这些问题。可是一些朋友担心镶牙价格太高而一拖再拖。其实,镶牙价格问题对与很多人来说,跟本不是很大的问题。因为不同的人口腔健康情况不同,选择镶牙的方式也不一样,价格方面当然不一样了。所以想镶牙的朋友还要尽早咨询医生,确定自己镶牙的大体价格,而不是往后拖延。下面我们来看看影响镶牙的价格因素吧!
主任表示,具体镶牙的价格没有一个统一的规定,根据患者的个体差异,镶牙的价格有着极大的区别。具体与以下方面的因素有关。
1、患者口腔的健康状况:在镶牙修复前,牙科医师会对患者口腔进行全面的检查,如口腔内有炎症及龋病,则镶牙前则应进行规范的治疗;因此根据患者口腔状况的不同,镶牙的价格则不相同。
2、镶牙材料的选择:牙科临床上镶牙材料有很多,而且随着牙科技术的不断发展,越来越多的镶牙材料应用于牙科临床上。不同的镶牙材料,其性能、美观度、使用寿命、价格等方面有着较大的区别因此选用不同的镶牙材料,这样镶牙要多少钱也不相同。
3、缺牙的具体情况:根据患者牙齿缺失的数量、部位及牙齿缺损程度的不同,镶牙修复方式的选择不一。牙科临床上镶牙修复根据假牙在口腔中固位情况的不同,分为固定义齿和活动义齿两种,而不同的镶牙修复方式,其镶牙的价格有着极大的区别。推荐阅读:使用更多的镶牙技术
目前镶牙的技术:
1 活动义齿
活动义齿是利卡环把义齿固定在剩余的天然牙齿或者粘膜上。同时能够保持能够进行一定的咀嚼功能。而且活动义齿容易拆卸,清洗方便,不容易有牙科疾病。目前在市面上所有的活动义齿都是以塑料制作的。推荐阅读:明星美牙大揭秘
2 固定义齿
固定义齿是目前使用更广泛的牙齿修复方式。因为这种方法对牙冠保护严密,硬度较高而且十分稳固。根据使用的材料可以分为金属钢牙,烤瓷牙。金属钢牙硬度较高,但是金属的光泽和牙齿不一致,不适合做前牙。而烤瓷牙和种植牙基本是属于一个种类,拥有强度高,形态恢复,耐磨,色泽逼真等优点,现在固定义齿中使用更多的材料。
3 种植牙
种植牙也叫人工种植牙,并不是真的种上自然牙齿,而是通过医学方式,将与人体骨质兼容性高的纯钛等金属经过精密的设计,制造成类似牙根的圆柱体或其他形状,以外科小手术的方式植入缺牙区牙槽骨内,经过 1~3 个月后,当人工牙根与牙槽骨密合后,再在人工牙根上制作美牙冠。
种植牙的出现彻底打破了传统假牙一统天下的局面,如今种植牙技术已经有将近50年的临床发展,已是非常成熟的一种治疗手段。现在的材料无论是形态还是色泽,都非常的逼真。所以只要做好口腔卫生并定期检查,人工植体能维持的时间就可以和真牙一样久,目前保持更久的已经做了种植牙40多年。
镶牙的价格是其次的,更为重要的是患者的健康,选择正规的口腔医院,给自己的健康提供一份保障!
郑州做种植牙哪家医院好?推荐:中韩唯美口腔
中韩唯美口腔种植中心拥有先进的专业技术设备,提供种植成功的前提保障。标准的种植诊室拥有独立的洁净新风消毒系统、空气冷热循环系统和设备负压供气系统,引进NobelGide计算机导航系统、Adec综合治疗椅、超声骨刀、高频电刀、CGF离心机、心电监护仪、电除颤仪、笑气等多种先进的口腔医疗设备,让种植牙更安全、更舒适、更成功。
中韩唯美口腔种植牙系统多样,顾客拥有更多的选择空间。种植中心自成立时率先引进NobelBiocare牙种植系统起,又先后引入美国Bicon牙种植系统、瑞士ITI、韩国Osstem等著名的种植系统,使顾客对于种植牙系统的选择更加灵活、更具个性化。
技术推荐——亲骨超导种植牙
由于CT“亲骨”种植技术,运用的是先进专利的微创种植技术,提取牙齿缺失患者自身的牙体骨骼来定制人造骨粉,骨粉在血液循环的作用下与牙槽骨迅速、牢固地结合,保持了极高的生物活性,以达到极佳的口腔相容性。
并且“亲骨”种植技术所采用的种植体,在微螺纹表面是经过特殊处理的,能更大限度增加与颌骨接触面积,使种植体在良好的成骨组织上稳固生长,真正实现真牙般的咀嚼感受。
好的种植技术当然要有经验丰富和技术水平很高的专家才能使效果体现出来。中韩唯美口腔由多名国内外齿科专家组成的诊疗团队,专家理论及临床实践经验丰富,能熟练进行牙齿种植。
中韩唯美牙齿种植专家推荐

徐雅轩国内著名CAM/CAD修复专家,毕业于南京医科大学口腔专业,长期从事口腔种植临床工作,在部队三甲医院工作多年,拥有多年深厚的口腔种植与研究经验。曾应邀参加瑞士ITI种植培训、德国西诺德3D齿雕培训,并出任多国种植集团特邀医师。其娴熟的种植技术和丰富的临床经验有机结合,注重从顾客的角度为出发点制定治疗方案,行医严谨,待人真诚,让广大缺牙顾客重新拥有完美的牙齿,深得顾客好评。
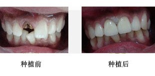
中韩·唯美口腔牙齿种植前后对比

以上就是中韩唯美口腔医院专家对镶牙多少钱的介绍,如果您对镶牙多少钱还有其他疑问,可直接向我们的在线专家免费咨询!点击在线咨询。唯美口腔一直以“患者至上”为服务目标。牙齿选唯美,健康又美丽。
唯美口腔连锁·汇聚实力专家
唯美口腔连锁·品牌资讯