补牙用什么材料好?唯美口腔的专家介绍:目前临床上用于补牙的材料有很多种,每一种材料又有很多品牌的,不同的补牙材料适用的补牙范围也不一样。具体补牙用什么材料好,应该结合自己牙齿龋齿的情况、经济能力等决定。

目前主要的补牙材料有:
1、银汞合金:由银、锡、铜及水银混合而成,可承受较强咬合力,是更早的补牙材料。但是因为颜色呈银灰色,美观方面差还有极少数的人会对汞合金有过敏反应,所以目前一般都不再使用银汞合金当做补牙材料。
2、玻璃离子水门汀:主要由铝玻璃和多丙烯酸混合而成的化合物,材料颜色接近牙齿天然的颜色,但不像牙齿般通透能黏贴牙齿表面能释出氟化物防止物料与牙齿连接处发生蛀牙。不过物料强度较低,容易耗损,不耐用,一般都用在乳牙期的补牙,因为乳牙会在年幼时替换。
3、复合树脂:以丙烯酸树脂为基础,加入玻璃、石英等微粒作强化用途。其材料颜色接近牙齿天然的颜色,适合修补前面的牙齿;不过强度只是一般。推荐阅读:在郑州补一颗牙要多少钱
4、玻璃离子树脂:由复合树脂和玻璃离子水门汀混合而成;具有玻璃离子水门汀和复合树脂的特性美观、耐损程度比玻璃离子水门汀优胜。
5、纳米补牙,采用的是美国3M公司独有的纳米技术复合树脂进行龋病的填充修复,具有色泽逼真、持久性佳、适用广泛、硬度强等优势是目前更理想的补牙材料。
材料重要,技术更重要
补牙材料固然很重要,但是补牙的效果不仅仅和材料有关,如果没有一家正规的口腔医院,没有经验丰富,技术成熟的医生操作,补牙的效果也不会理性,甚至会出现副作用,因此选择一家正规的医院和技术过硬的医生也很重要。
中韩·唯美口腔——让补牙给您带来美丽
1、中韩·唯美口腔美牙设计专家为每一位补牙顾客量身设计符和医疗美学标准的补牙方案,让每一颗牙齿都像艺术品一样宛如天成,坚固耐用。
2、中韩·唯美口腔医院巨资引进德国西诺德 CAD/CAM 3D 齿雕美牙系统、瑞士三代铸瓷美牙系统等世界更先进的诊疗设备,让您不出国门就能享有全球先进的口腔医疗服务。
3、为保证口腔诊疗过程安全无菌,杜绝交叉感染,中韩·唯美口腔医院全国首创全透明消毒中心,对器械进行统一消毒灭菌,真正做到"一医二助一室一机一盘一针一消毒"。
中韩·唯美口腔医院从技术、设备、环境、服务、体系、管理等方面,锻造全方位的品牌优势,奠定口腔健康医疗服务行业的领先品牌地位。实行电话预约制、电话提醒及一站式服务体系。中韩唯美口腔医院专家还表示,发现问题及时的治疗,早早的拥有一口好看的牙齿,不要拖沓以防出现难治疗、高消费的情景。
中韩唯美口腔技术推荐——3D美容冠
我院独家引进的3D美容冠技术,打破了过去磨牙、取模、刻腊、烧瓷等传统程序,运用计算机辅助设计和制作,一次性完成备牙、光学取模、设计、研磨、试戴、安装等全部程序,整个过程仅需一个小时,真正实现“立等可戴”的神话,是专门制作美容修复牙齿的精美全瓷修复体的高精密度仪器。
想要在更短的时间里完成美齿工程,想要在更舒适的环境下实现牙齿蜕变,相信中韩唯美口腔医院能带给您全新的体验。如果您还有什么不清楚的地方,可以点击我们的在线咨询!
中韩·唯美口腔牙齿美容修复专家推荐

程玲,口腔执业医师,精湛技术:牙齿美容、口腔内科、1小时德国西诺德CAD/CAM3D齿雕全瓷修复。毕业于河南医科大学,先后在华西口腔医学院及三级甲等医院口腔中心工作,积累了丰富的临床经验。在固定修复、美齿美白方面技艺精湛有着突出优势,曾参与中韩美容整形峰会,并于核心期刊发表论文多篇。该医师技术娴熟,操作规范轻柔,行医严谨,待人真诚,已成功完成近千例的牙齿美容修复,深得患者好评。
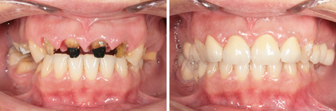
中韩·唯美口腔牙齿美容前后对比
如有有任何疑问,你可在线咨询得到想要的蜕变答案,专家会根据您的实际情况为您推荐更好的治疗方案并为您申请专项优惠。
唯美口腔连锁·汇聚实力专家
唯美口腔连锁·品牌资讯