在郑州补牙要多久?有句话叫天命难为,这不牙齿有时候也会因为“天命”提前下岗,且不说下岗的牙齿是不是完全尽责后光荣的离开,缺失的牙齿确实破坏了我们牙列的完整性,能给我们带来很多不好的影响,比如说话漏风,有碍口腔卫生的维护,吃饭塞牙什么的,所以我们大部分时间会选择去补牙,但大家对补牙比较迷茫,不知道补牙能用多长时间,那么在郑州补牙需要多久?
中韩·唯美口腔的专家指出,补牙是一种以人造物质进行修补牙体组织缺损的方法之一,我们常见的一些因为龋齿、外伤等原因造成的牙体组织部分的缺损,都需要进行及时的修补。这样才可以恢复牙齿的外形与功能。那么,到底补牙需要多长时间呢?这应该受牙齿的缺损程、牙齿缺失的数目来和患者的自身情况等因素的影响。
1、延期充填法就是先用药物封在洞底,暂时封药后观察7-10天,如无症状,牙髓活力测试正常,再行充填。此法适用于洞底留有少量坏变组织者。
2、立即充填法是在备好洞后立即充填,但充填前必须先用刺激性小的药物消毒洞底和洞壁。洞底无龋坏牙本质,可用氧化锌丁香油粘固粉盖上一层,再用磷酸锌粘固粉垫一层底,更后用永久性材料(如银汞合金等)充填。
3、如果牙齿缺损的部位比较少,只需要简单的补牙则一次就可以修复好。如果有一点深入牙髓的话就一般要进行至少两次的补牙,此时要严格按照医生嘱按及时的复诊完成治疗。推荐阅读:补牙有哪些好处
4、牙齿发生浅龋、中龋或者部分深龋的情况的患者,此时应该去除龋坏组织,然后在进行填充龋坏部分。如果是深龋患者当去尽龋坏组织后,无论有无自发痛都应实施延期充填法,这种情况下补牙就不能一次完成。
5、若封药后有轻微的症状,再封药观察3个月,症状消失,牙髓活力测试正常,盖髓后充填。若封药后症状重,有自发痛;或封药后无症状,再观察3个月时症状加重,则均应开放牙髓,作髓病治疗。若龋病发展成牙髓病、根尖周病,治疗就更为复杂。
在郑州补牙要多久?中韩·唯美口腔医院专家称,一般人在补牙后几天里面会有点感觉异常的现象,这些都是正常的。一般在初次遇冷热时也会有不适感,这是由于在补牙的时候器械以及药物对牙齿的创伤,随着时间的推移可自行恢复正常,比如一周或者是两周后还不见好,就应该去医生处检查原因。想了解自己补牙究竟需要多长时间,点击在线咨询,在线医生给你一个满意的答复!
中韩·唯美口腔推荐——3D美容冠
美容冠修复技术不需要拔牙,无痛,只需要1小时,效果显着终身不反弹复发,所以美容冠从各方面就显得更胜一筹,综合各方面的考虑,美容冠的价格还是比较优惠的,也是广大求美者都消费得起的牙齿修复方法。
中韩·唯美口腔牙齿修复专家推荐

莫三心教授,主任医师,硕士研究生导师。唯美口腔特邀专家,河南省口腔医学领域知名专家、郑州大学知名教授。口腔修复、牙齿矫正修复曾多次获得卫生部及省市各级表彰。主编多部并且参与编写多部国家医学教材,发表学术论文20余篇。擅于口腔修复,并涵盖口腔专业各个领域,可谓是大师级的口腔专家,在国内口腔界享有很高的声望。
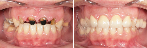
中韩·唯美口腔美容冠修复前后对比
中韩·唯美口腔集牙齿美容、治疗和预防为一体,科室开设:牙齿种植、烤瓷牙、口腔正畸、口腔修复、牙齿美白、老年口腔、儿童口腔、口腔预防保健等口腔诊疗项目。清洁优雅,温馨舒适的医疗环境深受专家的肯定和广大患者的好评!多次获得相关部门的肯定与表彰,为每一位患者提供更合适的诊疗方案和更知名的技术保障。
上一篇:怎么样补牙效果好
下一篇:在郑州补一颗蛀牙要多少钱
唯美口腔连锁·汇聚实力专家
唯美口腔连锁·品牌资讯