郑州前牙种植

郑州门牙做种植牙贵吗

来源:郑州唯美口腔
赞: | 好评: | 阅读:
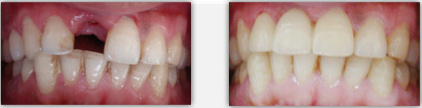
  郑州门牙做种植牙贵吗?郑州唯美口腔医院专家介绍说,门牙虽然是人体非常坚固的器官,但是如果对它呵护不够,它也是非常脆弱的,在加上日常生活中的磕磕绊绊,很容易导致牙齿出现缺失的情况。门牙一旦出现缺失的情况,对自身的形象会造成很大的影响,此时就需要尽快进行修复。那么,门牙做种植牙贵吗?为此,通过以下我们来进行详细的了解。
 
门牙做种植牙贵吗
 
  郑州门牙做种植牙贵吗 郑州唯美口腔医院专家介绍,门牙的修复根据不同的情况,修补的方法也不同,因此种植门牙的价格也不固定。不同种植牙基台的品牌价格相差其实很大,还有国产和进口之分,有些医院将种植牙的价格开得很低就是这个道理。种植牙系统不仅影响使用寿命,对手术也有着很大的影响。所以至少应该选择使用人数较多,并且效果得到认可的品牌。
 
  郑州唯美口腔进口种植体都是安全可靠的,在口腔CT和专家帮助下,种植牙手术很高,并且基本都可以使用40年之久。这里对于种植体就不做过多的介绍,因为患者自身很难去判断自己的情况适合哪种种植体,而主要是根据价格去选择。建议与医生沟通完自身的口腔情况后,交由医生来推荐。
 
  郑州门牙做种植牙贵吗?其实选择一位好医生和医院,才是更保证不浪费每一分钱的做法,因为如果失败了,那代表着患者除了多遭罪,还要多花钱。种植牙作为牙科中更难的治疗技术之一,它的是受到多方面影响的。
 
  郑州唯美口腔牙齿种植专家推荐
 
  郑淳奎,口腔颌面外科硕士、口腔修复医学博士。精堪技术:种植牙修复。毕业于韩国首尔大学牙医学院,1995年赴瑞典皇家学院口腔医学院、美国华盛顿大学口腔医学院求学,先后获得了口腔颌面外科硕士、牙周病学硕士、口腔修复医学博士等学位。回国后将韩国整形医学与德国CEREC3D数字齿雕系统结合,革新了口腔美容设计的传统治疗方法,获韩国齿周科学会新人学术奖及保健福利部长官奖。2000年又赴德国深造普士即刻种植牙技术,并成为位为德国人实施种植手术的亚洲专家。对各种种植修复技术有很深的造诣,先后在日本齿周科学会、日本齿科学会发表论文,获大韩齿周科学会新人学术奖,获韩国保健福利部长官奖,在韩国牙科界享有很高的美誉。推荐阅读:郑州种植牙更便宜多少钱
 
  门牙做种植牙贵吗?通过以上的介绍,想必大家也有了一定的了解。郑州更好的牙科医院郑州唯美口腔的专家提醒:大家在做种植时,一定要选择正规医院才行,因为做种植牙并非所有医院都可以,是需要资质的,郑州唯美口腔是种植牙专科医院。如果您想了解更多种植牙的问题可以点击“在线咨询”与医生一对一进行交流。
温馨提示:口腔健康问题,不要查看不专业的网站,不要问不专业的医生。

上一篇:郑州种颗门牙要多少钱

下一篇:郑州做种植牙哪家医院比较好

唯美口腔连锁·汇聚实力专家
唯美口腔连锁·品牌资讯
  • 一城七院
  • 高端设备
  • 荣誉资质
  • 机构环境