郑州前牙种植

郑州前牙种植用什么材料好

来源:郑州唯美口腔
赞: | 好评: | 阅读:
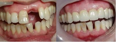
  郑州前牙种植用什么材料好,郑州金水区的张先生咨询:前不久因为一次事故,我的门牙掉了一个,非常难看,说话漏风,所以想尽快的修复以下。听说种植牙效果比较好,但对种植牙也不了解。为此,想问一下,前牙种植用什么材料好?针对张先生的问题,通过以下我们来进行详细的了解。
 
  郑州唯美口腔专家介绍,牙齿缺失是令人烦恼的一件事情,如果是前牙缺失,那就更是生活、工作上的一件大事,会造成很多令人尴尬的事情。种植牙是前牙修复的更佳方法(前牙种植牙费用),不过种植牙的材料有很多,需要根据自身的情况来选择。
前牙种植用什么材料好
 
  郑州前牙种植用什么材料好?郑州唯美口腔医院专家介绍说,在种植牙漫长的历史探索中,种植牙牙根用的材料很多,如黄金、宝石、铅、铁、铱、铂、银等,也有瓷、橡胶、象牙等。随着加工技术的发展,出现了高强度和抗腐蚀性良好的金属材料,如钴铬合金、钛、钽等。目前,常用的种植牙材料主要是钛,涂层也以钛或钛合金为基材。
 
  1、种植牙的材料之钛
 
  目前,常用的种植牙的材料主要是钛,涂层也以钛或钴合金为基材。钴的理化性质以质轻、不锈和高强度加工性能好著称。钴在医疗上的应用广泛如人工骨及关节、心脏瓣膜、心脏起博器、牙种植体等。
 
  2、种植牙的材料之钴
 
  钴的耐磨性好,耐腐蚀性好,主要是表面形成氧化膜,被氧化性常温下稳定,空气中加温到800度以上氧化激烈;具有半导体性;弹性模量低,与骨相近,能产生共振;生物相容性好,无毒无副作用,无磁性,无刺激,在体内稳定,湿润性好,不易附着有机物。具有良好的应用前景。推荐阅读:人工种植牙的价格贵吗
 
  由于前牙不需要研磨食物,所以我们对前牙修复材料的硬度要求不是很高。全瓷牙当属是前牙修复材料的更佳选择!全瓷牙有普通的全瓷,也有热压的铸瓷、玻璃渗透的陶瓷和氧化锆全瓷牙,各有优劣。全瓷牙的"进化"就在于强度的不断加强,以适应更多需求。
 
  在常用全瓷牙中,氧化锆全瓷牙的强度更高,它的适用范围也是更广的,用作前牙、后牙、承力要求高的固定桥都可以;其次是玻璃渗透陶瓷、铸瓷牙、普通全瓷牙,而普通全瓷则更适合做贴面,不建议做全冠,因为其强度不够,易裂。价格也按强度顺序,氧化锆全瓷牙更贵,普通全瓷牙更便宜。
 
 郑州前牙种植用什么材料好?通过以上的介绍,想必大家也有了一定的了解。郑州更好的口腔医院郑州唯美口腔的专家提醒:种植牙对医生和技术的要求非常高,因此,选择正规的口腔医院很重要。如果对种植牙还有什么不明白的地方,可在线咨询我们的口腔专家,将为您提供详细的解答。
温馨提示:口腔健康问题,不要查看不专业的网站,不要问不专业的医生。

上一篇:郑州人工种植牙价格多少

下一篇:郑州种植牙最便宜多少钱

唯美口腔连锁·汇聚实力专家
唯美口腔连锁·品牌资讯
  • 一城七院
  • 高端设备
  • 荣誉资质
  • 机构环境