郑州前牙种植

郑州门牙缺失用哪种修复方法好

来源:郑州唯美口腔
赞: | 好评: | 阅读:
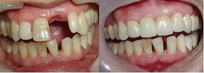
  郑州门牙缺失用哪种修复方法好?门牙是整个牙齿重要组成部分,门牙缺失时不断影响美观,对牙齿的功能也会产生很大的影响,因而需要尽早做修复。随着牙齿修复技术的发展,目前牙齿修复的方法也有很多种。那么,门牙缺失用哪种修复方法好?为此,通过以下我们来进行详细的了解。
 
  郑州唯美口腔专医院家介绍,门牙在口腔中有着重要的作用,门牙缺失会导致患者说话漏风,与人交流多有不便,而且门牙缺失对个人形象有很大影响。关于门牙缺失的修复方式有很多种,每个人都可以根据自己的情况选择相应的门牙修复技术。在这里,专家推荐更好的门牙修复方法--种植牙修复技术。
 
门牙缺失用哪种修复方法好
 
  郑州门牙缺失用哪种修复方法好?郑州唯美口腔专医院家介绍,种植牙技术已经有很多年的历史,在多年的使用过程中,它不断的改进,技术也越来越成熟(前牙种植牙价格)。现在的即刻种植牙技术可以做到无需住院,手术完全无痛,术后即可进食。种植牙的技术优势主要体现在以下几个方面:
 
  1.不磨损邻牙:因为烤瓷牙需要有支柱,所以会磨邻近的两颗牙,才能帮助缺牙位置的假牙支撑。但种植牙只需针对单颗缺牙进行植牙,不需要透过修磨来帮助,是以人工牙根来支撑假牙的。
 
  2.稳定牢固:种植牙有强壮的人工植体,来帮助稳固,而且咬合的力量跟烤瓷牙相比可以增加三倍之多。
 
  3.咀嚼效率高:传统的全口假牙,往往使一些朋友在说话、吃东西时容易脱落,造成尴尬。种植牙全固定式种植体固位好,比传统假牙戴的稳固、牢靠。因此,咀嚼效率较传统假牙有大幅度提高,患者即可尽情地吃、畅快地说、自信地笑。推荐阅读:郑州种牙多少钱一颗
 
  4.舒适美观:种植牙由于不使用活动假牙必需的基托与卡环,因此种植牙修复后的牙齿,患者口感舒适没有异物感,修复后的种植牙不仅外观逼真美观,种植牙先进技术还可以根据患者的脸型、牙齿的形状与颜色制作牙冠,达到整体协调和美观的更佳效果。
 
 郑州门牙缺失用哪种修复方法好?门牙缺失用哪种修复方法好?通过以上的介绍,想必大家也有了一定的了解。郑州更好的口腔医院郑州唯美口腔种植牙专家具有扎实的理论基础与丰富临床经验,能够真正地把“医学+科学、精湛+技艺、审美+艺术”完美地结合起来,在完成治疗的过程中,实现顾客对美的要求。医生会根据每个患者的不同情况制定具有针对性的、个性化的治疗方案。
温馨提示:口腔健康问题,不要查看不专业的网站,不要问不专业的医生。

上一篇:郑州种植牙一般多少钱一颗

下一篇:郑州种植牙有年龄限制吗

唯美口腔连锁·汇聚实力专家
唯美口腔连锁·品牌资讯
  • 一城七院
  • 高端设备
  • 荣誉资质
  • 机构环境