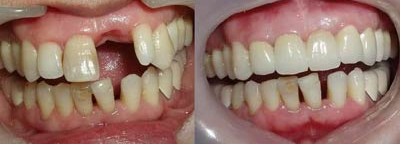
郑州做一颗种植牙要多少钱,种植牙主要是通过医学的方法,将与人体骨质兼容性高的纯钛金属经过精密的设计,制造成类似牙根的圆柱体或其他形状,以外科小手术的方式植入缺牙区的牙槽骨内,经过一到三个月后,人工牙根与牙槽骨密合后,再在人工牙根上制作烤瓷牙冠。那么,郑州做一颗种植牙要多少钱?为此,通过以下我们来进行详细的了解。
郑州唯美口腔医院的专家介绍,种植牙以微创无痛、坚固美观、使用寿命长久等优势受到大家的亲睐,但对于郑州种植牙多少钱不能一概而论,这与很多因素有关,具体如下:

一、品牌:
品牌是影响种植牙价格的因素,也是影响种植牙价格的更主要的因素,我们平时见过的种植牙的品牌可以有多种多样,比如,瑞典Nobel Guide种植系统、美国3I种植系统,韩国奥齿泰种植系统,品牌不同,他们的价格就有明显的差异,这点是毋庸置疑的。
二、种植牙的烤瓷牙冠种类:
种类是影响烤瓷牙冠价格的因素,也是影响种植牙价格的更主要的因素,我们平时见过的烤瓷牙的种类可以有多种多样,比如,根据固定方式就有固定的,以及移动的两种,可以分为金属的,和非金属的,烤瓷牙冠种类不同,价格各异。
三、医生:
对于同一个地方,同一家医院来说,医生也是决定一个因素,医生的技术水准,也是可以决定价格的,有的医生技术好的,它们的价格就不同,医生技术稍微差的,他们的价格也就有所不同,医生的技术主要就是经验和知识的领先,这样价格就不同了。推荐阅读:在郑州种植牙哪家好
四、护理:
护理有的时候也被考虑的一个范畴,针对有的护理是免费的,但是,针对额外的护理就是不免费的了,不同的服务就有不同的价格,有的服务价格很便宜,比如定期拍牙片,有的服务就比较贵一点,比如洗牙等,这些在有的时候也是一种影响的因素。
郑州唯美口腔牙齿种植专家推荐
郑淳奎,口腔颌面外科硕士、口腔修复医学博士。精堪技术:种植牙修复。毕业于韩国首尔大学牙医学院,1995年赴瑞典皇家学院口腔医学院、美国华盛顿大学口腔医学院求学,先后获得了口腔颌面外科硕士、牙周病学硕士、口腔修复医学博士等学位。回国后将韩国整形医学与德国CEREC 3D数字齿雕系统结合,革新了口腔美容设计的传统治疗方法,获韩国齿周科学会新人学术奖及保健福利部长官奖。2000年又赴德国深造普士即刻种植牙技术,并成为位为德国人实施种植手术的亚洲专家。对各种种植修复技术有很深的造诣,先后在日本齿周科学会、日本齿科学会发表论文,获大韩齿周科学会新人学术奖,获韩国保健福利部长官奖,在韩国牙科界享有很高的美誉。
郑州做一颗种植牙要多少钱?通过以上的介绍,想必大家也有了一定的了解。郑州口腔医院郑州唯美口腔让众多缺牙患者重拾健康、重拾自信心的微笑。如果有什么牙齿问题,可在线咨询我们的口腔医生。
上一篇:在郑州种植牙哪家好
下一篇:郑州种植一颗牙大概多少钱
唯美口腔连锁·汇聚实力专家
唯美口腔连锁·品牌资讯