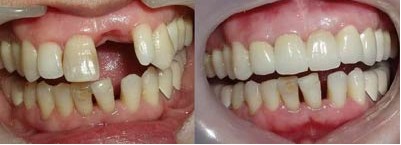
前牙种植术前后注意事项有哪些,当前牙出现缺失时,会导致我们不敢大笑,不敢和别人讲话,发音不准,同时前牙的缺失还影响我们整个口腔的健康,因此及时进行修复是非常重要的。随着牙科技术的发展,种植牙受到了大家的青睐,被称为人们的第三副牙齿。但在种植牙手术前后需要注意一些事项,从而确保种植的有效性。那么,前牙种植术前后注意事项有哪些?

郑州唯美口腔医院的专家介绍,前牙种植术前需要注意事项如下:
1、选择正规的医疗机构和专科医生:要选择那些正规的、技术力量强、种植设备先进的医疗机构;医生要经过正规学习和训练,并且有丰富的种植牙经验。
2、查看种植牙产品的合法性:向医生了解给自己使用的种植牙是否经过国家法定部门许可使用。在我国,正规的种植牙的产品除应有国家医药管理局的生产许可证外,还必须经过卫生部的技术审查并取得临床使用批件。
3、手术前与医生进行很好地交流:清楚种植牙用于自己的具体失牙情况时能获得什么样的效果,需要注意什么问题,并且很好地与医生配合。
另外,前牙种植术后的注意事项如下:
1、术后24小时刷牙,术后48小时内用纱布包冰块局部冰敷,按医嘱在规定时间服药。
2、使用漱口液或盐水漱口,每天3次以上,直到拆除缝线。
3、术后饮食1~3天进流食,保证营养,4~7天半流食如鸡蛋。肉汤等,8~14天进软食,14天后恢复正常饮食。食物不要过热,尽量进软食如鸡蛋、牛奶、肉汤、粥面等。
4、术后注意休息,睡觉时可把头稍为垫高一点,当天不可开车、吸烟、饮酒和激烈运动。推荐阅读:哪些人适合做前牙种植
5、常规7~10天复诊检查创口愈合情况及时拆线预防局部感染。术后可有肿胀和组织缺血属正常,如果有明显出血,可致电医生,直接来院处理或咬一块纱布和冷敷。
前牙种植术前后注意事项有哪些?以上就是郑州唯美口腔专家的介绍,温馨提示:选择好的医院和技术是更大的注意事项。郑州牙科医院郑州唯美口腔是具有水准的大型现代化口腔治疗专科,集预防、保健、治疗、美容、修复为一体,拥有国内外知名专家构成的专业口腔专家队伍,为广大群众口腔健康保驾护航。如还有其他疑问,可在线咨询我们的口腔专家,唯美专家随时恭候您的到来!
上一篇:哪些人适合做前牙种植
下一篇:种植牙让中老年人享受美食
唯美口腔连锁·汇聚实力专家
唯美口腔连锁·品牌资讯