全口种植牙需要哪些条件?种植牙技术经过长期的手术实践,已成为一项成熟的口腔修复治疗手段,给中老年人的生活带去了希望和幸福,对于修复牙齿有着很好的效果,深受患者欢迎,那么全口种植牙需要哪些条件?
种植牙是一项手术,必然需要在手术前准备方案和注意事项,那么全口种植牙条件:
1、种植部位的牙槽骨要有足够的支持量即是说牙槽骨要合一定的高度和厚度,以容纳人工牙根并使其牢固.若是牙槽骨厚度不足则不宜作种植.
2、种植部位的邻牙委排列整齐对颌牙未伸长,咀嚼压力不大,且无偏侧咀嚼习惯,如果咀嚼压力过大往往会造成牙槽骨的吸收,种植体松动.了解更多种植牙,点击在线咨询,直接与专家相互交流,详细咨询!
3、从年龄朱选择一般以青壮年,因为这个年龄的骨组织生长旺盛,容易愈合.
中韩·唯美口腔牙齿种植技术推荐
唯美的管理严格遵循化医院管理服务标准,引进先进消毒管理体系,完全杜绝交叉感染,保证治疗质量。其手术室是中原标准口腔手术室营运基地,全程无菌可视化操作。采用数码诊疗操作流程及管理系统,与更先进的口腔医疗体系紧密接轨使口腔诊疗技术创伤更小、痛苦更小、时间更短、效果更好。推荐阅读:亲骨超导种植技术
中韩·唯美口腔牙齿种植专家推荐

郑淳奎,口腔颌面外科硕士、口腔修复医学博士。精堪技术:种植牙修复。毕业于韩国首尔大学牙医学院,1995年赴瑞典皇家学院口腔医学院、美国华盛顿大学口腔医学院求学,先后获得了口腔颌面外科硕士、牙周病学硕士、口腔修复医学博士等学位。回国后将韩国整形医学与德国CEREC 3D数字齿雕系统结合,革新了口腔美容设计的传统治疗方法,获韩国齿周科学会新人学术奖及保健福利部长官奖。2000年又赴德国深造普士即刻种植牙技术,并成为位为德国人实施种植手术的亚洲专家。对各种种植修复技术有很深的造诣,先后在日本齿周科学会、日本齿科学会发表论文,获大韩齿周科学会新人学术奖,获韩国保健福利部长官奖,在韩国牙科界享有很高的美誉。点击在线咨询,了解牙齿种植的优惠信息!在线预约可享更多优惠!
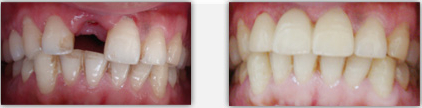
中韩·唯美口腔种植牙前后对比图

中韩·唯美口腔医院拥有先进的网络远程会诊信息系统,为每一位患者争取更佳治疗时机、享受更知名医疗资源、申请更优惠的治疗价格。网上挂号—方便快捷,在线咨询时间获取更需信息 。
上一篇:全口牙缺修复有什么难处
下一篇:种植牙的优点一般有哪些
唯美口腔连锁·汇聚实力专家
唯美口腔连锁·品牌资讯