郑州做种植牙价格?种植牙已经成为修复牙齿缺失更好的方法,通过牙齿种植可以帮助我们恢复牙齿的口腔功能,让我们牙齿缺失之后的灰暗生活恢复正常。那么郑州做种植牙价格是多少呢?下面跟随郑州知名口腔科专家来了解一下。
中韩·唯美口腔医院专家说,种植牙的发展在口腔医学技术上的运用已经是非常普及的了,种植义齿已经成为一项成熟的种植修复治疗手段。上海更好的口腔医院专家介绍:种植牙的价格与多个因素有关,并不是固定不变的。
郑州种植牙的价格
种植牙的价格与设备有关,临床上配备较高的设备环境,例如开展种植技术需要大型x线诊断设备、临床手术设备、技工设备、手术支持设备以及在义齿制作时需要的一些独特的较贵重的修复材料。
种植牙的价格与种植义齿材料有关,种植体的加工工艺复杂且要求极其精确。目前,世界上缴著名的种植系统,例如瑞士iti种植系统,种植体及配件多种多样,用于满足不同的修复设计需要,所以成本很高。推荐阅读:亲骨超导种植技术
种植牙的价格与所选的医生有关,种植义齿是由经过特殊培训的种植外科医生、种植修复医生、种植技师及相应的助手组成的团队来共同完成的,需要的人员成本比较大。种植体成活以后上面要安装烤瓷冠,烤瓷冠种类很多。每个人可以根据自己的要求和经济条件选择。具体请咨询在线医生!
牙齿种植技术推荐——亲骨超导种植技术
中韩·唯美口腔独家引进的亲骨超导即刻种植是采用普兰梅卡口腔全景机进行3D口腔CT成像,根据自身牙体骨骼或以自身骨组织系数来定制骨粉,比起传统的人造骨粉,更加精确无误,而且生物相容性更好、更稳定牢固、愈合更迅速。由于3D口腔CT成像的直接应用,使亲骨种植技术大大的提高了,并象征着口腔种植领域的发展,迈出了革命性的一步。点击在线咨询,了解种植牙的优惠信息!在线预约可享更多优惠!
中韩·唯美口腔牙齿种植专家推荐

徐雅轩,国内著名CAM/CAD修复专家,精湛技术:牙齿矫正、牙齿美容修复、1小时德国西诺德CAD/CAM3D齿雕全瓷修复。毕业于南京医科大学口腔专业,长期从事口腔种植临床工作,在部队三甲医院工作多年,拥有多年深厚的口腔种植与研究经验。曾应邀参加瑞士ITI种植培训、德国西诺德3D齿雕培训,并出任多国种植集团特邀医师。其娴熟的种植技术和丰富的临床经验有机结合,注重从顾客的角度为出发点制定治疗方案,行医严谨,待人真诚,让广大缺牙顾客重新拥有完美的牙齿,深得顾客好评。
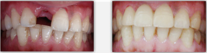
中韩·唯美口腔牙齿种植前后对比图

如果您觉得我们的文章没有解释的很清楚,或者还有其他疑问,您可以直接点击中韩·唯美口腔的在线咨询咨询医生,我院专业咨询医生会给您耐心的,详细的解答,并给您一个满意的答复!
上一篇:烤瓷牙跟种植牙的对比差别是什么
下一篇:种植满口牙需多少钱
唯美口腔连锁·汇聚实力专家
唯美口腔连锁·品牌资讯