牙齿美容哪里好?牙齿美容是修复和美化牙齿更好的方法,就像平常拍照后用的美图秀秀一样,不同的是牙齿美容是能够改变牙齿形状的,颜色,让牙齿不再遮遮掩掩,但是牙齿美容的医院也有很多家,随便找一家医院做牙齿美容让很多人不放心,那么牙齿美容哪里好?
选择合适的牙齿美容医院,保证牙齿美容的效果
中韩唯美口腔的专家表示,牙齿美容是个相当专业的技术,选择一个专业性的牙齿美容医院也就选择了一个好的牙齿美容技术。因此在对待牙齿美容医院的选择这个问题上,消费者应该多加斟酌。
中韩唯美口腔:更低的价格享受顶端牙齿美容服务
中韩唯美口腔,中国高端齿科专业连锁的领导品牌或中国高端齿科服务行业的领跑者,拥有流行的牙齿美容诊疗模式,接轨的牙齿美容诊疗设备,前沿的牙齿美容诊疗技术,标准的牙齿美容消毒流程,专业化一流的牙齿美容专家技术团队,典雅高贵的诊疗环境,让您在家门口即可体验到化、高品质的专业齿科诊疗服务,开启了华中地区牙齿美容诊疗的新篇章。
中韩唯美口腔牙齿美容过程规范
人们在正规医院做牙齿美容,通常安全性上都更具保证。中韩唯美口腔坚决执行国家卫生部所规定的口腔管理规范条例,严格要求在无菌无痛下操作,坚持使用一次性器械,杜绝交叉感染。中韩唯美口腔医院广泛采用的瑞典MELAG消毒流程,即全面实现了一人一机,一人一包,一人一换的严格消毒体系,真正实现了为患者提供安全无痛、无交叉感染的放心诊疗服务。推荐阅读:牙齿美容那种方法好
中韩唯美口腔医院美容技术先进
虽说目前郑州口腔医院都可以进行牙齿美容,但由于正规医院技术先进,往往美容修复后的牙齿无论是寿命,还是效果上都要更加理想。中韩唯美口腔医院紧跟时代发展,大量引进国内外先进的各种美容新方法、新材料、新仪器设备,推广和发展现今更先进的3D美容冠,瓷睿刻,360°彩光美白,超声波洁牙等多项美容技术,即可为患者制定更具针对性、个性化的牙齿美容方案。
中韩唯美口腔牙齿美容实力有保障
牙齿美容对医生的经验和技术都是一个考验,所以选择正规的口腔医院很重要。本院的牙齿美容修复都是由国内著名矫正专家亲自操作,美容专家们在牙齿美容治疗方面有着30余年临床经验,对于儿童和成年人的牙齿美容成功案例不计其数,得到了患者的一致肯定,这无疑是朋友们做牙齿美容的理想选择。中韩唯美口腔医院引进先进的3D美容冠技术,制定出更适合东方人的口腔结构,此外一般正规医院医资实力更具保证,通过详细的口腔检查,往往都可以根据患者具体的口腔情况,制定出更具针对性的的牙齿美容方案。
中韩唯美牙齿美容专家推荐

程玲,主任医师,硕士研究生导师。曾多次获得卫生部及省市各级表彰。主编多部并且参与编写多部国家医学教材,发表学术论文20余篇。擅于口腔修复,并涵盖口腔专业各个领域,可谓是大师级的口腔专家,在国内口腔界享有很高的声望。
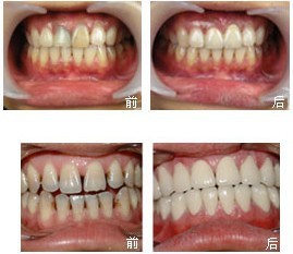
中韩·唯美口腔牙齿美容前后对比

医院诊疗中心推出网络挂号预约系统,在网站上挂号成功后可减免专家挂号费,并有优惠。预约时间就诊更方便快捷,省去看专家要排队的烦恼。
唯美口腔连锁·汇聚实力专家
唯美口腔连锁·品牌资讯